二重整形・目元整形の症例写真
二重埋没法の症例写真
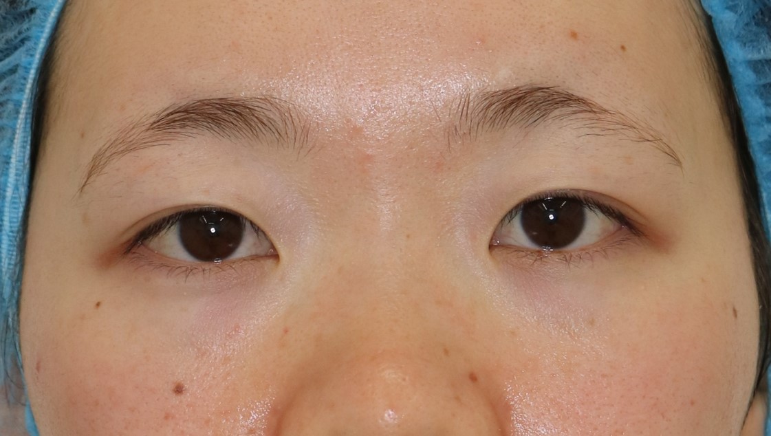
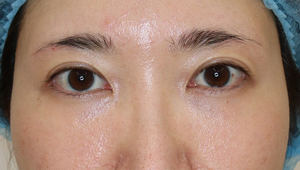
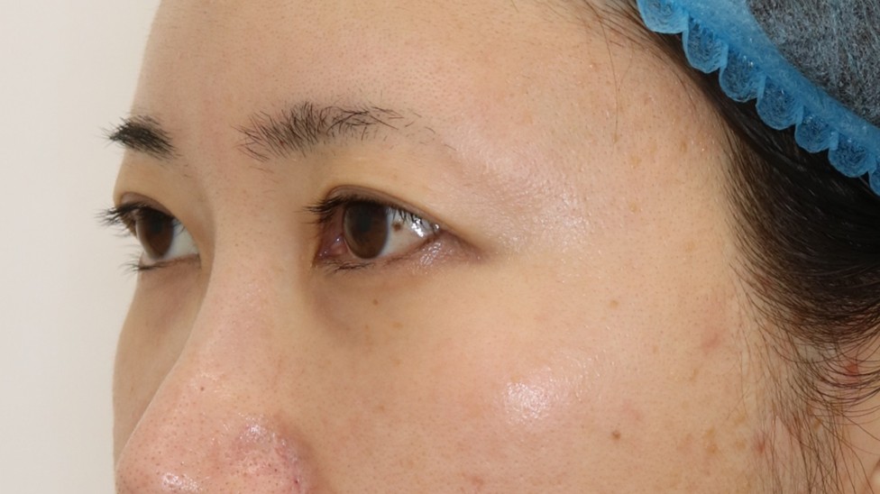
二重埋没法3点留め(両側)



20代女性。
両側の二重埋没法の3点留めを行った患者様の症例写真です。
点留めの埋没法は線留めと比較してもダウンタイムが極めて短いのが特徴。アイプチやアイテープのわずらわしさから脱出するため、手軽な埋没法を選択される方が増えています。
34Gという極細針での麻酔、8-0ナイロンという極細糸での施術、血管を避ける技術により強い腫れや皮下出血のリスクを低減しております。
- 施術費用
- ¥162,800(税込)
- 考えられるリスク・副作用
-
- 腫れ
- 左右差
- 糸が取れてしまう
- 感染
- 出血
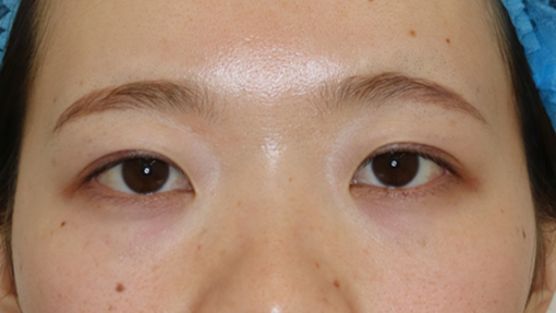
二重埋没法3点留め(両側)



10代女性。
二重埋没法の3点留めを行った患者様の症例写真です。
ミックス型〜末広型をご希望されました。
右側は施術後1か月後のお写真です。二重ラインがきれいに入り、目が大きく見えます。とてもよく似合い、可愛らしい目元になられました。
- 施術費用
- ¥162,800(税込)
- 考えられるリスク・副作用
-
- 腫れ
- 左右差
- 糸が取れてしまう
- 感染
- 出血
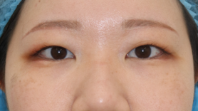
二重埋没法3点留め(両側)



20代女性。
両側の二重埋没法3点留めを行った患者様の症例写真です。
お出かけの時はいつもテープで二重ラインを作っていたそうです。
お目元がパッチリされ可愛らしい印象になられました。これから色々なメイクを楽しんでくださいね。
- 施術費用
- ¥162,800(税込)
※施術当時の料金のため、現在の料金とは異なる場合がございます。
- 考えられるリスク・副作用
-
- 腫れ
- 左右差
- 糸が取れてしまう
- 感染
- 出血
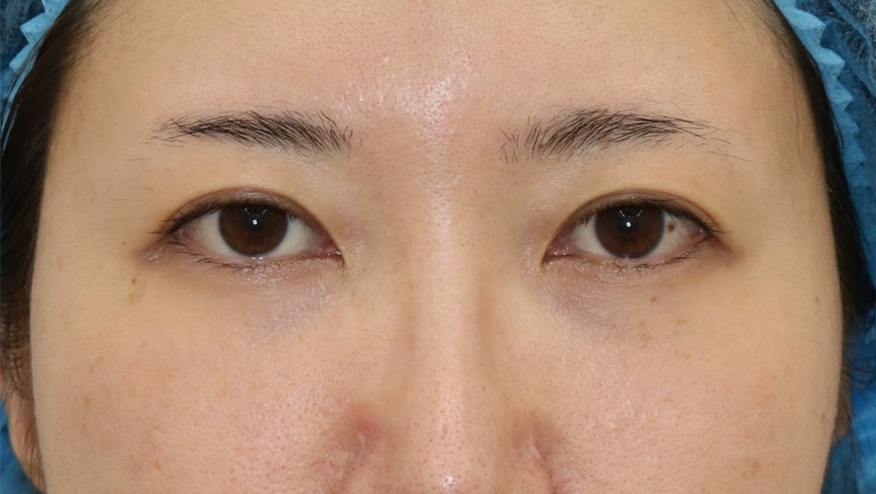
二重埋没法3点留め(両側)



両側の二重埋没法3点留めを行った患者様の症例写真です。
少しはっきり目の末広型を希望されました。デザインについては診察時と直前の2回のシミュレーションでよくご希望を伺うようにしています。
34Gという極細針での麻酔、8-0ナイロンという極細糸での施術、血管を避ける技術により強い腫れのリスクを低減しております。
- 施術費用
- ¥162,800(税込)
※施術当時の料金のため、現在の料金とは異なる場合がございます。
- 考えられるリスク・副作用
-
- 腫れ
- 左右差
- 糸が取れてしまう
- 感染
- 出血
二重埋没法3点留め(両側)



両側の二重埋没法3点留めを行った患者様の症例写真です。
目頭側から二重幅がはっきりと見える華やかなラインを希望されました。
34Gという極細針での麻酔、8-0ナイロンという極細糸での施術、血管を避ける技術により強い腫れのリスクを低減しております。
- 施術費用
- ¥165,000(税込)
※施術当時の料金のため、現在の料金とは異なる場合がございます。
- 考えられるリスク・副作用
-
- 腫れ
- 左右差
- 糸が取れてしまう
- 感染
- 出血
Case 6
二重埋没法3点留め(両側)



重たい瞼にコンプレックスをお持ちでした。
埋没法で上瞼の重みが解消され、すっきりした末広の二重に仕上がりました。
- 施術費用
- ¥165,000(税込)
※施術当時の料金のため、現在の料金とは異なる場合がございます。
- 考えられるリスク・副作用
-
- 腫れ
- 左右差
- 糸が取れてしまう
- 感染
- 出血
二重埋没法3点留め(両側)



両側の二重埋没法3点留めを行った患者様の症例写真です。
いままでテープを張って二重ラインを出していたそうですが、わずらわしさから手術に踏み切られました。
これからいろんなメイクを楽しんでいただきたいです。
- 施術費用
- ¥165,000(税込)
※施術当時の料金のため、現在の料金とは異なる場合がございます。
- 考えられるリスク・副作用
-
- 腫れ
- 左右差
- 糸が取れてしまう
- 感染
- 出血
Case 8
二重埋没法3点留め(両側)



両側の二重埋没法3点留めを行った患者様の症例写真です。
術前は瞼が睫毛の際にかかってしまい重たい印象になっておられました。
術後は上瞼が軽やかになり、睫毛の際も自然に見えています。二重ラインもとてもナチュラルですね。
- 施術費用
- ¥162,800(税込)
※施術当時の料金のため、現在の料金とは異なる場合がございます。
- 考えられるリスク・副作用
-
- 腫れ
- 左右差
- 糸が取れてしまう
- 感染
- 出血
Case 9
ダブルスクエアノット埋没法(両側)



両側のダブルスクエアノット埋没法を行った患者様の症例写真です。
手術前は瞼の厚みがあり、開瞼力もやや弱い方でした。
術後は綺麗にラインが入り可愛らしくなられました。右眉(向かった左)の位置も少し下がり前頭筋の緊張が緩和されました。
- 施術費用
- ¥204,600(税込)
※施術当時の料金のため、現在の料金とは異なる場合がございます。
- 考えられるリスク・副作用
-
- 腫れ
- 左右差
- 糸が取れてしまう
- 感染
- 出血
Case 10
二重埋没法3点留め(両側)



両側の二重埋没法3点留めを行った患者様の症例写真です。
ダウンタイムを少なくしつつ、左側のハム目できるだけ治したい、右側はラインアップしたい、というご希望を頂戴しました。
術後は左右の二重ラインが綺麗にはいりました。
- 施術費用
- ¥162,800(税込)
※施術当時の料金のため、現在の料金とは異なる場合がございます。
- 考えられるリスク・副作用
-
- 腫れ
- 左右差
- 糸が取れてしまう
- 感染
- 出血
Case 11
ダブルスクエアノット埋没法(両側)



両側のダブルスクエアノット埋没法を行った患者様の症例写真です。
ダブルスクエアノットのメリットとしては、針が瞼を通過する回数・距離が少ないため
皮下出血が生じづらい、腫れが少な目などが挙げられます。
- 施術費用
- ¥204,600(税込)
※施術当時の料金のため、現在の料金とは異なる場合がございます。
- 考えられるリスク・副作用
-
- 腫れ
- 左右差
- 糸が取れてしまう
- 感染
- 出血
二重埋没法3点留め(両側)



両側の二重埋没法3点留めを行った患者様の症例写真です。
術前は二重ラインが2本になっておられました。
術後1か月。元々のアーモンド形の美しい目が生かされる、綺麗な二重ラインになられましたね。
- 施術費用
- ¥162,800(税込)
※施術当時の料金のため、現在の料金とは異なる場合がございます。
- 考えられるリスク・副作用
-
- 腫れ
- 左右差
- 糸が取れてしまう
- 感染
- 出血
二重埋没法3点留め(両側)



両側の二重埋没法3点留めを行った患者様の症例写真です。
末広で自然なデザインをご希望されました。
手術後1か月。自然なスッとした二重ラインがはいりました。
- 施術費用
- ¥162,800(税込)
※施術当時の料金のため、現在の料金とは異なる場合がございます。
- 考えられるリスク・副作用
-
- 腫れ
- 左右差
- 糸が取れてしまう
- 感染
- 出血
二重埋没法3点留め(両側)



両側の二重埋没法3点留めを行った患者様の症例写真です。
ご本人のご希望は「左右差の少ない、スッとした末広型」でした。
手術後1か月。ご要望の左右差の減少と、スッとした末広型の二重ラインができたのではないかと思います。
- 施術費用
- ¥162,800(税込)
※施術当時の料金のため、現在の料金とは異なる場合がございます。
- 考えられるリスク・副作用
-
- 腫れ
- 左右差
- 糸が取れてしまう
- 感染
- 出血
二重埋没法3点留め(両側)



両側の二重埋没法3点留めを行った患者様の症例写真です。
もともと奥二重で優しい印象の目元ですが、就寝時にアイプチを使用しておられました。
手術後1か月。まだ少し腫れが残っていますが、 目元がより華やかで魅力的な印象になりました。
- 施術費用
- ¥162,800(税込)
※施術当時の料金のため、現在の料金とは異なる場合がございます。
- 考えられるリスク・副作用
-
- 腫れ
- 左右差
- 糸が取れてしまう
- 感染
- 出血
Case 16
眉下切開法+埋没3点留めの症例写真







手術前は上瞼が大きくたるみ、瞼が重く視界を遮っていました。
額の前頭筋の力みも大きく眉の位置も高くなっていました。
日常生活でも非常に疲れる状況だったと思います。
術後3か月。瞼がすっきりと整い、額の前頭筋もリラックスしました。
美容的にも機能的にも改善されたと思います。眉下の傷もほとんど目立たず、大変若々しい印象になられました。
- 施術費用
- 眉下切開法 ¥385,000(税込)
埋没3点留め ¥113,960(税込)(同日施術割引適用)
合計:¥498,960(税込)
※施術当時の料金のため、現在の料金とは異なる場合がございます。
- 考えられるリスク・副作用
-
- 腫れ
- 内出血
- 感染、創離解
- 左右差
- 感覚異常
二重埋没法3点留め(両側)



両側の二重埋没法3点留めを行った患者様の症例写真です。
手術前。アーモンド形の可愛い目の形ですね。
手術後3ヶ月。腫れが引いて、ご希望されたさりげないラインに落ち着きました。
目を閉じても他人からはほとんど気づかれないと思います。
- 施術費用
- ¥162,800(税込)
※施術当時の料金のため、現在の料金とは異なる場合がございます。
- 考えられるリスク・副作用
-
- 腫れ
- 左右差
- 糸が取れてしまう
- 感染
- 出血
二重切開法の症例写真
全切開法(マイクロ縫合)の症例写真



20代女性。
全切開法で二重を形成し、皮膚をマイクロ縫合した患者様の症例写真です。血管や神経を縫合するためのマイクロ糸で縫合することで傷が目立たなくなるよう最善を尽くすことができます。
全切開法では余分な皮膚や脂肪を除去しながら、比較的自由なデザインで二重ラインを形成することができます。
埋没法のようにラインが取れてしまう心配もありません。
皮膚のたるみが強い方、脂肪が多くまぶたが厚い方でも、すっきりした二重まぶたを手に入れることができます。
施術後のお写真は、術後2カ月が経過したものです。目がとても大きく見えますね。お顔立ちが華やかになりました。
- 施術費用
- ¥385,000(税込)
※施術当時の料金のため、現在の料金とは異なる場合がございます。
- 考えられるリスク・副作用
-
- 腫れ(個人差がありますが、大きな腫れのある期間は1~2週間程度)
- 皮下出血
- 二重の左右差
- 出血、感染、創離開
- 感覚異常
全切開法の症例写真



20代女性。
余分な皮膚や脂肪を除去しながら、比較的自由なデザインで二重ラインを形成できるのが全切開法。
- 施術費用
- ¥385,000(税込)
※施術当時の料金のため、現在の料金とは異なる場合がございます。
- 考えられるリスク・副作用
-
- 腫れ(個人差がありますが、大きな腫れのある期間は1~2週間程度)
- 皮下出血
- 二重の左右差
- 出血、感染、創離開
Case 3
全切開法の症例写真



20代女性。
治療前は右目(向かって左)が細目の平行型、左目(向かって左)は2つのラインが互い違いにはいり不整なラインとなっておられました。全切開法で手術を行い、左右差の少ないミックス型に整えました。
全切開法では二重ラインを作るのと同時に、脂肪や皮膚のたるみを同時に除去できるため、ぱっちりとした目元を半永久的に作ることができます。
- 施術費用
- ¥330,000(税込)
※施術当時の料金のため、現在の料金とは異なる場合がございます。
- 考えられるリスク・副作用
-
- 腫れ(個人差がありますが、大きな腫れのある期間は1~2週間程度)
- 皮下出血
- 二重の左右差
- 出血、感染、創離開
小切開法の症例写真



20代女性。
小切開法の治療を行った患者様の症例です。
埋没法を2回繰り返したものの、二重ラインがとれてしまったとのことでご相談いただきました。
「切開は怖い、だけど取れてしまう可能性のある埋没法を繰り返すことも抵抗がある」とのことで小切開法をご提案しました。
施術後は腫れも少なく、二重ラインを整えることができました。
- 施術費用
- ¥264,000(税込)
※施術当時の料金のため、現在の料金とは異なる場合がございます。
- 考えられるリスク・副作用
-
- 腫れ
- 皮下出血
- 二重の左右差
- 出血、感染、創離開
- 感覚異常
全切開法の症例写真



20代女性。
この患者様は過去に埋没法を受けていらっしゃいました。丸みがありクリっとした目元をご希望され、全切開法を行いました。目頭側までラインがはいり、目元の印象がより可愛らしくなったと思います。
施術後のお写真は、術後2カ月が経過したものです。
綺麗な二重ラインとなりました。
- 施術費用
- ¥330,000(税込)
- 考えられるリスク・副作用
-
- 腫れ(個人差がありますが、大きな腫れのある期間は1~2週間程度)
- 皮下出血
- 二重の左右差
- 出血
- 感染
- 創離開
- 感覚異常
全切開法の症例写真



他院で埋没法を受けられて数年が経過されていました。わずかに二重幅を広げつつ、ラインが取れてしまう心配が消失するよう、全切開法を選ばれました。
自然な華やかさをプラスできるように留意して手術をしました。
術後のお写真は3ヶ月経過したものです。綺麗な二重ラインに仕上がりました。
- 施術費用
- ¥385,000(税込)
- 考えられるリスク・副作用
-
- 腫れ(個人差がありますが、大きな腫れのある期間は1~2週間程度)
- 皮下出血
- 二重の左右差
- 出血
- 感染
- 創離開
- 感覚異常
全切開法の症例写真



皮膚切除と眼窩脂肪除去をしながら二重全切開法をさせてもらったモニター様です。
手術前は皮膚の余剰があり、額に力をいれて眉を一生懸命引き上げ、瞼のたるみに抵抗している表情をされていました。外側の眼窩脂肪も除去して瞼をすっきりさせましょうという方針になりました。
手術後6か月。自然にすっきりとした目元に落ち着かれました。額の余計な力も抜けています。
- 施術費用
- ¥385,000(税込)
- 考えられるリスク・副作用
-
- 腫れ(個人差がありますが、大きな腫れのある期間は1~2週間程度)
- 皮下出血
- 二重の左右差
- 出血
- 感染
- 創離開
- 感覚異常
全切開法の症例写真



余分な皮膚や脂肪を除去しながら、比較的自由なデザインで二重ラインを形成できるのが全切開法。
この方は瞼の脂肪が多めだったので、除去して目元をスッキリ仕上げました。
- 施術費用
- ¥330,000(税込)
※施術当時の料金のため、現在の料金とは異なる場合がございます。
- 考えられるリスク・副作用
-
- 腫れ(個人差がありますが、大きな腫れのある期間は1~2週間程度)
- 皮下出血
- 二重の左右差
- 出血、感染、創離開
- 感覚異常
全切開法の症例写真



上まぶたのたるみ取り治療として、全切開法を行った患者様です。
加齢とともに、瞼のたるみが生じはじめ、二重幅が狭くなってきていました。
術前シミュレーションでご本人と話し合って決めたとおり、全切開法により控えめな平行型の二重ラインを作成しました。
手術時間は約1時間。治療後のお写真は、施術から約2ヶ月半後です。
お顔立ちが若々しく華やかになりました。
- 施術費用
- ¥330,000(税込)
※施術当時の料金のため、現在の料金とは異なる場合がございます。
- 考えられるリスク・副作用
-
- 腫れ(個人差がありますが、大きな腫れのある期間は1~2週間程度)
- 皮下出血
- 二重の左右差
- 出血、感染、創離開
- 感覚異常
全切開両側+眼窩脂肪除去+ROOF除去の症例写真







数年前に他院で埋没法を受られたとのことで初診時にも二重ラインがありましたが、
「取れてしまうリスクをなくす」・「ミックス型を目指す」・「瞼の厚みをとる」というご希望をいただき、
全切開+眼窩脂肪除去+ROOF切除を計画しました。
手術前は弱弱しいラインで目力もあまり強くありませんでしたが、術後は深みのある美しい二重ラインができました。
- 施術費用
- 全切開(両側)¥385,000(税込)
眼窩脂肪除去(両側)オプション ¥55,000
ROOF切除(両側)オプション ¥88,000
※施術当時の料金のため、現在の料金とは異なる場合がございます。
- 考えられるリスク・副作用
-
- 腫れ(個人差がありますが、大きな腫れのある期間は1~2週間程度)
- 皮下出血
- 二重の左右差
- 出血、感染、創離開
- 感覚異常
Case 11
全切開法の症例写真



普段はアイプチ等で二重のラインを作成されていましたが、
かぶれなどが生じるようになったということで手術をご希望されました。
普段のアイプチはかなり高めにされていたようで、切開法でもかなり高めのラインをご希望されました。
3ヶ月後。しっかりと幅のある、きれいな二重に仕上がりました。
- 施術費用
- ¥385,000(税込
※施術当時の料金のため、現在の料金とは異なる場合がございます。
- 考えられるリスク・副作用
-
- 腫れ(個人差がありますが、大きな腫れのある期間は1~2週間程度)
- 皮下出血
- 二重の左右差
- 出血、感染、創離開
- 感覚異常
眼瞼下垂の症例写真
美容的眼瞼下垂手術(片側)と片側全切開法(片側)の症例写真



20代女性。
手術前は二重ラインに左右差があり、写真向かって左(ご本人の右眼)には眼瞼下垂症が認められ、黒目の出方に左右差を生じていらっしゃいました。
写真向かって左(右側)の挙筋前転法と、向かって右(左側)の全切開法をさせていただきました。術後、眼瞼下垂が改善し、二重ラインが綺麗に入りました。
- 施術費用
- ¥357,500(税込)
※価格改定などにより、施術当時の価格や実際の価格と異なる場合があります。現在の料金は料金案内をご確認ください。
- 考えられるリスク・副作用
-
- 腫れ(個人差がありますが、大きな腫れのある期間は1~2週間程度)
- 出血、感染、創離解
- 二重の左右差
- 下垂の再発
- 感覚異常
美容的眼瞼下垂手術+目頭切開(両側)



20代女性。
美容的眼瞼下垂手術(挙筋前転法)と目頭切開法を行いました。
術後3か月のお写真です。
二重の幅も対称になり、ぱっちりとした大きな目になりました。
- 施術費用
-
眼瞼下垂:
¥385,000(税込)
目頭切開:
¥198,000×0.7=¥138,600(税込)
※同時施術のため割引合計:
¥523,600(税込)
※施術当時の料金のため、現在の料金とは異なる場合がございます。
- 考えられるリスク・副作用
-
- 出血、感染、創離解
- 二重の左右差
- 下垂の再発
- 感覚異常
美容的眼瞼下垂手術+目頭切開(両側)



20代女性。
目を大きくする手術として美容的眼瞼下垂手術(挙筋前転法)と目頭切開法を行いました。
縦方向、横方向に自然に目が大きくなり、かわいらしい印象になりました。
- 施術費用
-
眼瞼下垂:
¥385,000(税込)
目頭切開:
¥198,000×0.7=¥138,600(税込)
※同時施術のため割引合計:
¥523,600(税込)
※施術当時の料金のため、現在の料金とは異なる場合がございます。
- 考えられるリスク・副作用
-
- 出血、感染、創離解
- 二重の左右差
- 下垂の再発
- 感覚異常
美容的眼瞼下垂手術+目頭切開(両側)



60代女性。
美容的眼瞼下垂手術(挙筋前転法)と目頭切開法を行いました。
上瞼が自然に開くようになり、額の筋肉の過緊張がとれてリラックスした表情になられました。
額~眉~瞼は連動しており、調和と均整をとることにより美しさや自然な印象が生まれます。
- 施術費用
-
眼瞼下垂:
¥385,000(税込)
目頭切開:
¥198,000×0.7=¥138,600(税込)
※同時施術のため割引合計:
¥523,600(税込)
※施術当時の料金のため、現在の料金とは異なる場合がございます。
- 考えられるリスク・副作用
-
- 出血、感染、創離解
- 二重の左右差
- 下垂の再発
- 感覚異常
美容的眼瞼下垂手術+マイクロ縫合の症例写真(両側)



40代女性。
両目の眼瞼下垂症の手術を行った患者様です。縫合には、超極細のマイクロ糸を使用し、マイクロサージャリー(顕微鏡下手術)で施術を行う「マイクロ縫合」を選択いただきました。術後写真は3ヶ月後のお写真です。
- 施術費用
- 美容的眼瞼下垂手術+マイクロ縫合 ¥440,000(税込)
※施術当時の料金のため、現在の料金とは異なる場合がございます。
- 考えられるリスク・副作用
-
- 出血、感染、創離解
- 二重の左右差
- 下垂の再発
- 感覚異常
美容的眼瞼下垂手術の症例写真(片側)



左側(向かって右側)の下垂が著明で、つらそうな状態でした。
術後写真は7日後のお写真ですので、徐々に落ち着いてくると思います。
二重の幅は反対側に合わせると太すぎるので、お話合いの上、美容的な幅にさせてもらいました。
- 施術費用
- ¥231,000(税込)
※施術当時の料金のため、現在の料金とは異なる場合がございます。
- 考えられるリスク・副作用
-
- 出血、感染、創離解
- 二重の左右差
- 下垂の再発
- 感覚異常
美容的眼瞼下垂手術の症例写真(片側)



左目(写真では向って右)に眼瞼下垂症を生じていた患者様の症例です。
目の開きが悪くなり二重幅が広がっていたため、左目のみ挙筋前転法を行いました。
左目の開きが改善し、二重幅の左右差も小さくなりました。
- 施術費用
- ¥231,000(税込)
※施術当時の料金のため、現在の料金とは異なる場合がございます。
- 考えられるリスク・副作用
-
- 出血、感染、創離解
- 二重の左右差
- 下垂の再発
- 感覚異常
美容的眼瞼下垂手術+目頭切開(両側)



治療前は目頭の形が垂直ぎみで、目の形が角ばっているように見えてしまっていました。これを改善し尚且つ瞼の重たい感じを改善するため。美容的眼瞼下垂術(挙筋前転)と目頭切開法を行いました。
上瞼がかるくなり、目頭の形が改善しました。二重ラインはほっそりした自然な平行型に仕上がりました。
- 施術費用
-
眼瞼下垂:
¥385,000(税込)
目頭切開:
¥198,000×0.7=¥138,600(税込)
※同時施術のため割引合計:
¥523,600(税込)
※施術当時の料金のため、現在の料金とは異なる場合がございます。
- 考えられるリスク・副作用
-
- 出血、感染、創離解
- 二重の左右差
- 下垂の再発
- 感覚異常
美容的眼瞼下垂手術+マイクロ縫合の症例写真(両側)



眼瞼下垂症の治療を目的として挙筋前転法を行いました。この方のように下垂が進行すると視野が狭窄してくることがあります。
開眼時に黒目の部分がしっかりとでるように調整し、眼窩脂肪と、その外側にあるROOF(隔膜前脂肪)なども除去して二重ラインを作成しました。
- 施術費用
- ¥440,000(税込)
※施術当時の料金のため、現在の料金とは異なる場合がございます。
- 考えられるリスク・副作用
-
- 出血、感染、創離解
- 二重の左右差
- 下垂の再発
- 感覚異常
美容的眼瞼下垂手術の症例写真(両側)



眼瞼下垂症の治療を目的として挙筋前転術を行いました。
眼瞼下垂の患者さんはこの方のように上まぶたの凹みを生じていることがよくあります。
手術を行うことにより、目のあきが良くなるだけでなく凹みの改善も期待することができます。
- 施術費用
- ¥385,000(税込)
※施術当時の料金のため、現在の料金とは異なる場合がございます。
- 考えられるリスク・副作用
-
- 出血、感染、創離解
- 二重の左右差
- 下垂の再発
- 感覚異常
美容的眼瞼下垂手術の症例写真(両側)



眼瞼下垂症の治療を目的として挙筋前転術を行いました。
術後は目に光が入り、若々しい活力を感じる目元になられました。
- 施術費用
- ¥440,000(税込)
※施術当時の料金のため、現在の料金とは異なる場合がございます。
- 考えられるリスク・副作用
-
- 出血、感染、創離解
- 二重の左右差
- 下垂の再発
- 感覚異常
美容的眼瞼下垂手術+眼窩脂肪除去の症例写真





上瞼の重さと厚みが気になるとのことで、眼瞼下垂手術と眼窩脂肪除去を行いました。
術後は瞼の厚みがすっきりし、横から見ても目元がすっきりしましたね。
上瞼のカーブが綺麗にでています。
- 施術費用
- ¥495,000(税込)
※施術当時の料金のため、現在の料金とは異なる場合がございます。
- 考えられるリスク・副作用
-
- 出血、感染、創離解
- 二重の左右差
- 下垂の再発
- 感覚異常
美容的眼瞼下垂手術+眼窩脂肪除去の症例写真





術前は右眼の眼瞼下垂があり、また、「腫れぼったい」のも気になっているとのことで
眼瞼下垂手術と眼窩脂肪除去を行いました。
術前は重たそうな印象のお目元でしたが、術後3ヶ月は光の取り込みが増え、より輝いたお目元になりました。
- 施術費用
- ¥495,000(税込)
※施術当時の料金のため、現在の料金とは異なる場合がございます。
- 考えられるリスク・副作用
-
- 出血、感染、創離解
- 二重の左右差
- 下垂の再発
- 感覚異常
Case 14
美容的眼瞼下垂手術の症例写真





眼瞼下垂の手術では、挙筋腱膜という、瞼を開ける筋肉につながっている膜を適切に引き出し、
目の開きが均等になるように調整します。
手術後3か月。メイクが生える素敵な目元になられました。
- 施術費用
- ¥440,000(税込)
※施術当時の料金のため、現在の料金とは異なる場合がございます。
- 考えられるリスク・副作用
-
- 出血、感染、創離解
- 二重の左右差
- 下垂の再発
- 感覚異常
Case 15
美容的眼瞼下垂手術の症例写真





手術後3か月。黒目が左右共に綺麗に出て、二重幅も自然です。
眉と目の距離があまり広くない方ですので、このくらいの二重幅がバランスが良いと思います。
- 施術費用
- ¥440,000(税込)
※施術当時の料金のため、現在の料金とは異なる場合がございます。
- 考えられるリスク・副作用
-
- 出血、感染、創離解
- 二重の左右差
- 下垂の再発
- 感覚異常
目頭切開の症例写真
目頭切開の症例写真



30代女性。
目頭付近の重たい目元を気にされてご相談に来られ、W形成の目頭切開を提案しました。
横方向にも目が大きくなり、元気な印象のお目元に変わられました。
- 施術費用
- ¥352,000(税込)
※施術当時の料金のため、現在の料金とは異なる場合がございます。
- 考えられるリスク・副作用
-
- 出血
- 感染、創離解
- 左右差
- 感覚異常
目頭切開の症例写真



20代女性。
W形成の目頭切開をしました。
術後は目と目の間隔が狭くなり、お顔全体のバランスが整いました。
- 施術費用
- ¥352,000(税込)
※施術当時の料金のため、現在の料金とは異なる場合がございます。
- 考えられるリスク・副作用
-
- 出血
- 感染、創離解
- 左右差
- 感覚異常
上まぶたのたるみ取りの症例写真
眉下切開法の症例写真



30代女性。
眉下切開法により、たるんだ上瞼の皮膚を眉毛の下のラインで切除し、丁寧に縫合しました。手術時間は1時間ほどです。
術前は睫毛の上に、たるんだ瞼の皮膚が乗ってしまっていましたが、手術によりすっきりと変化し、もともとの二重ラインが綺麗にでました。
二重ラインを作成するのではなく、ご自身の二重ラインを「出す」ため、より自然に仕上がりやすい術式です。
- 施術費用
- ¥330,000(税込)
※施術当時の料金のため、現在の料金とは異なる場合がございます。
- 考えられるリスク・副作用
-
- 腫れ
- 内出血
- 感染、創離解
- 左右差
- 感覚異常
眉下切開法の症例写真



50代女性。
手術前は、上瞼の皮膚が本来の二重ラインの上にかぶさって「昔より目が小さくなってきたかも」という状態でした。
手術後は、もともとの綺麗な二重ラインがすっきりと出ました。眉下切開は、傷口が眉に隠れることから目立ちにくく、ダウンタイムも少なく自然に上瞼のたるみを改善できます。
- 施術費用
- ¥330,000(税込)
- 考えられるリスク・副作用
-
- 腫れ
- 内出血
- 感染、創離解
- 左右差
- 感覚異常
- 下垂の再発
眉下切開法+二重埋没法の症例写真



60代女性。
眉下切開法と埋没法の組み合わせ手術を受けていただいたモニター様です。
皮膚の余剰が多く、額に力を入れて眉を一生懸命持ち上げて眼を開けていらっしゃいました。埋没法で奥二重のラインをつけ、目力を増しながら、眉下切開法で皮膚のたるみを取り除きました。
術後は額の力はぬけ、リラックスした表情でも綺麗に瞼が開いています。
- 施術費用
-
眉下切開
¥330,000
埋没3点留め
¥113,960(同日施術割引適用)合計:
¥443,960(税込)
- 考えられるリスク・副作用
-
- 腫れ
- 内出血
- 感染、創離解
- 左右差
- 感覚異常
- 糸が取れてしまう
ハムラ法+眉下切開(+ZOスキンヘルス)





60代女性。
上瞼のたるみの治療として、眉下切開法を行い、目の下のたるみ治療を目的としてハムラ法手術を行った患者様の症例です。手術後にZOスキンヘルスで肌の治療もされたため見違えるように綺麗になられました。
- 施術費用
-
両側ハムラ法
¥495,000
両側眉下切開法
¥330,000総額:
¥825,000(税込)
- 考えられるリスク・副作用
-
- 腫れ
- 内出血
- 感染
- 創離解
- 左右差
- 感覚異常
- 凹凸の出現
- 効果不十分
眉下切開法の症例写真



50代女性。
上瞼のたるみの治療として、眉下切開法を行った患者様の症例です。
上瞼のたるみで、二重のラインの外側が消失してしまっていたため、物を見るにも少し不便を感じていらっしゃいました。
眉下切開法により、たるんだ上瞼の皮膚を眉毛の下のラインで切除し、丁寧に縫合しました。
手術時間は1時間ほどです。
- 施術費用
- ¥330,000(税込)
※施術当時の料金のため、現在の料金とは異なる場合がございます。
- 考えられるリスク・副作用
-
- 腫れ(個人差がありますが、大きな腫れのある期間は1~2週間程度)
- 内出血
- 感染、創離解
- 左右差
- 感覚異常
眉下切開法の症例写真



上瞼のたるみの治療として、眉下切開法を行った患者様の症例です。
上瞼が睫毛の際にかかってしまうので、なんとか瞼を持ち上げようと額にある前頭筋という筋肉が力み、眉が上に上がった表情をされていました。
眉下切開は余分な皮膚を取り除きながら自然で洗練された目元を実現する施術です。
「まぶたのたるみが気になるけれど、不自然な変化は避けたい」「若々しく、すっきりした印象を取り戻したい」とお考えの方にとって、選択肢のひとつとなるかもしれません。
- 施術費用
- ¥385,000(税込)
※施術当時の料金のため、現在の料金とは異なる場合がございます。
- 考えられるリスク・副作用
-
- 腫れ(個人差がありますが、大きな腫れのある期間は1~2週間程度)
- 内出血
- 感染、創離解
- 左右差
- 感覚異常
眉下切開法の症例写真





上瞼のたるみで、二重のラインが隠れ始めていた患者さんです。
眉下切開法により、たるんだ上瞼の皮膚を眉毛の下のラインで切除し、丁寧に縫合しました。
手術時間は1時間ほど。
術前は睫毛の上にたるんだ瞼の皮膚がのってしまっていましたが、手術によりすっきりと変化し、チャームポイントの上を向いた睫毛がはっきり見えるようになりました。
- 施術費用
- ¥385,000(税込)
※施術当時の料金のため、現在の料金とは異なる場合がございます。
- 考えられるリスク・副作用
-
- 腫れ
- 内出血
- 感染、創離解
- 左右差
- 感覚異常
眉下切開法の症例写真



睫毛の上まで皮膚が載ってしまい、額にはとても力が入っておられました。
眉下切開法により、たるんだ上瞼の皮膚を眉毛の下のラインで切除し、丁寧に縫合しました。
術後には睫毛の生え際がしっかりと出ました。二重ラインを作成するのではなく、ご自身の二重ラインを「出す」ため、より自然に仕上がりやすい術式です。
- 施術費用
- ¥385,000(税込)
※施術当時の料金のため、現在の料金とは異なる場合がございます。
- 考えられるリスク・副作用
-
- 腫れ
- 内出血
- 感染、創離解
- 左右差
- 感覚異常
眉下切開法の症例写真





上瞼のたるみの治療として、眉下切開法を行った患者様の症例です。
上瞼の皮膚量が多く、瞼を開けるために前頭筋(額の筋肉)の力みがある方でした。
術後はとても自然にたるみを改善できました。
- 施術費用
- ¥385,000(税込)
※施術当時の料金のため、現在の料金とは異なる場合がございます。
- 考えられるリスク・副作用
-
- 腫れ
- 内出血
- 感染、創離解
- 左右差
- 感覚異常
眉下切開法の症例写真





上瞼のたるみの治療として、眉下切開法を行った患者様の症例です。
眉下切開法により、たるんだ上瞼の皮膚を眉毛の下のラインで切除し、丁寧に縫合しました。
手術時間は1時間ほどです。
- 施術費用
- ¥385,000(税込)
※施術当時の料金のため、現在の料金とは異なる場合がございます。
- 考えられるリスク・副作用
-
- 腫れ
- 内出血
- 感染、創離解
- 左右差
- 感覚異常
眉下切開法の症例写真





上瞼のたるみの治療として、眉下切開法を行った患者様の症例です。
まつ毛の根元に上瞼の皮膚がのってしまっていました。額の緊張を緩めると、視野が妨げられる状況でした。
術後は瞼が開けやすくなり、額の緊張が和らぎました。また、まつ毛の根元に被さっていた皮膚がリフトアップされました。
- 施術費用
- ¥385,000(税込)
※施術当時の料金のため、現在の料金とは異なる場合がございます。
- 考えられるリスク・副作用
-
- 腫れ
- 内出血
- 感染、創離解
- 左右差
- 感覚異常
眉下切開法の症例写真





上瞼のたるみの治療として、眉下切開法を行った患者様の症例です。
眉下切開法により、たるんだ上瞼の皮膚を眉毛の下のラインで切除し、丁寧に縫合しました。
手術時間は1時間ほどです。
- 施術費用
- ¥385,000(税込)
※施術当時の料金のため、現在の料金とは異なる場合がございます。
- 考えられるリスク・副作用
-
- 腫れ
- 内出血
- 感染、創離解
- 左右差
- 感覚異常
眉下切開法の症例写真







上瞼のたるみの治療として、眉下切開法を行った患者様の症例です。
眉下切開法により、たるんだ上瞼の皮膚を眉毛の下のラインで切除し、丁寧に縫合しました。
手術前は、瞼の外側に皮膚がたるんで睫毛に皮膚が乗ってしまっていました。
術後は綺麗な二重が上品にのぞき、睫毛も上向きにされてとても明るいですね。
- 施術費用
- ¥385,000(税込)
※施術当時の料金のため、現在の料金とは異なる場合がございます。
- 考えられるリスク・副作用
-
- 腫れ
- 内出血
- 感染、創離解
- 左右差
- 感覚異常
眉下切開法の症例写真







上瞼のたるみの治療として、眉下切開法を行った患者様の症例です。
目じり側の皮膚が二重ラインに被さってくるのを解消したいとのことでした。
眉下切開を外側でデザインさせていただくのがベストと判断しました。
3か月後、二重ラインがはっきりして、アイラインのテールも描けるようになりました。
- 施術費用
- ¥385,000(税込)
※施術当時の料金のため、現在の料金とは異なる場合がございます。
- 考えられるリスク・副作用
-
- 腫れ
- 内出血
- 感染、創離解
- 左右差
- 感覚異常
眉下切開法の症例写真







手術前は、額のシワと、目元の皮膚が延びてしまったことによる瞼のシワが認められます。
また、前頭筋に強い力が働き、眉毛の位置が高くなっています。
これにより上瞼を引き上げて物を見ようとする癖が長年ついておられました。
眉下切開術後3か月。眉の位置が自然な位置までさがり、額のシワが軽減されました。
目元も若々しく見えます。
- 施術費用
- ¥385,000(税込)
※施術当時の料金のため、現在の料金とは異なる場合がございます。
- 考えられるリスク・副作用
-
- 腫れ
- 内出血
- 感染、創離解
- 左右差
- 感覚異常
眉下切開法+埋没3点留めの症例写真







手術前は上瞼が大きくたるみ、瞼が重く視界を遮っていました。
額の前頭筋の力みも大きく眉の位置も高くなっていました。
日常生活でも非常に疲れる状況だったと思います。
術後3か月。瞼がすっきりと整い、額の前頭筋もリラックスしました。
美容的にも機能的にも改善されたと思います。眉下の傷もほとんど目立たず、大変若々しい印象になられました。
- 施術費用
- 眉下切開法 ¥385,000(税込)
埋没3点留め ¥113,960(税込)(同日施術割引適用)
合計:¥498,960(税込)
※施術当時の料金のため、現在の料金とは異なる場合がございます。
- 考えられるリスク・副作用
-
- 腫れ
- 内出血
- 感染、創離解
- 左右差
- 感覚異常
眉下切開法の症例写真







睫毛の根元がでるようにしつつ、少し控えめな変化をご希望された方です。
手術後3か月。眉下の傷はかなり目立たなくなっておられます。目が自然に一回り大きくなられました。
アイラインも綺麗にひけておられますね。
- 施術費用
- 眉下切開法 ¥385,000(税込)
※施術当時の料金のため、現在の料金とは異なる場合がございます。
- 考えられるリスク・副作用
-
- 腫れ
- 内出血
- 感染、創離解
- 左右差
- 感覚異常
眉下切開法の症例写真







手術後3か月。目元の重さが改善しただけでなく、眉の位置も自然にさがり、額のシワが消失しています。
劇的な整形感などはないまま、額・眉・瞼の関係が改善しています
- 施術費用
- 眉下切開法 ¥385,000(税込)
※施術当時の料金のため、現在の料金とは異なる場合がございます。
- 考えられるリスク・副作用
-
- 腫れ
- 内出血
- 感染、創離解
- 左右差
- 感覚異常
眼瞼黄色腫除去の症例写真
上まぶたの眼瞼黄色腫除去の症例写真



50代女性。
眼瞼黄色腫を肌負担の少ないエルビウムYAGレーザーで除去しました。
瘢痕もあまり目立たず、目の形の変形もほとんどありませんでした。
- 施術費用
- ¥27,500(税込)
※施術当時の料金のため、現在の料金とは異なる場合がございます。
- 考えられるリスク・副作用
-
- 出血
- 瘢痕化
- 除去跡が目立つ
- 感染
- 再発など
まずは
お気軽にご相談ください
- お電話から予約する
- WEBから予約する
医師勤務予定表
診察時間(受付時間)
| 日 | 月 | 火 | 水 | 木 | 金 | 土 |
|---|---|---|---|---|---|---|
| 休診日 | 10:00~19:00 | 9:30~18:00 | 10:00~18:00 | 9:30~17:30 | 9:30~18:00 | 9:40~18:00 |








