下瞼のたるみ・クマ・涙袋・たれ目形成の症例写真
脂肪注入の症例写真
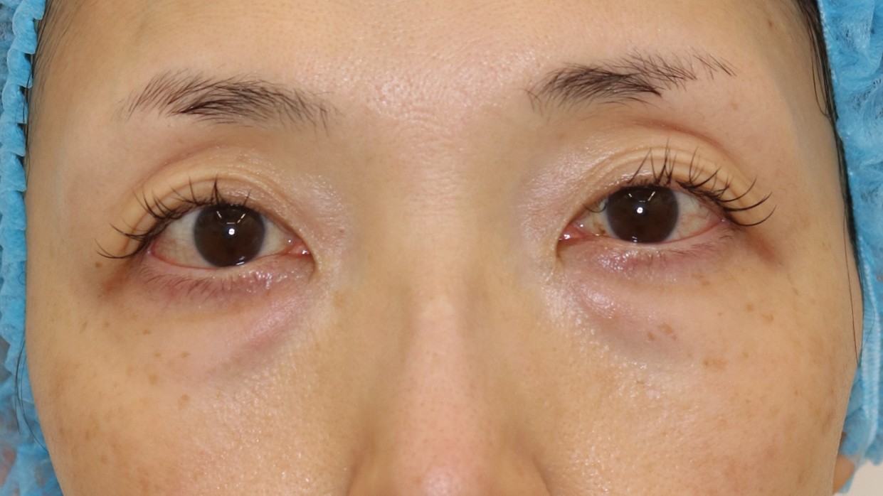
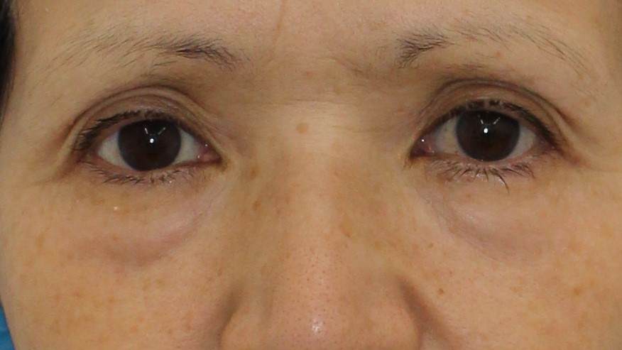
下まぶたの窪みへの脂肪注入



30代女性。
目の下の窪みに脂肪注入を行った患者様の症例写真です。
太ももの内側から脂肪をわずかに採取し、細い針で目の下の窪みに注入しました。
施術時間は約30分でした。
影クマが消失し、明るい印象になりました。
- 施術費用
- ¥415,800(税込)
※価格改定などにより、施術当時の価格や実際の価格と異なる場合があります。現在の料金は料金案内をご確認ください。
- 考えられるリスク・副作用
-
- 出血
- 感染
- 皮下出血
- 凹凸の出現
- 効果不十分
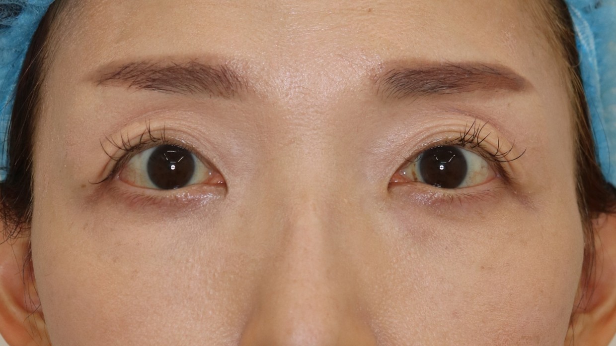
下まぶたの窪みへの脂肪注入

/>
30代女性。
目の下の窪みに脂肪注入を行った患者様の症例写真です。
太ももの内側から脂肪をわずかに吸引し、生着しやすいよう処理を行って目の下の窪みに注入しました。
手術時間はわずか30分でした。
影クマによって暗い表情に見えてしまう症状の解決へ導きます。
- 施術費用
- ¥415,800(税込)
※価格改定などにより、施術当時の価格や実際の価格と異なる場合があります。現在の料金は料金案内をご確認ください。
- 考えられるリスク・副作用
-
- 出血
- 感染
- 皮下出血
- 凹凸の出現
- 効果不十分
下まぶたの窪みへの脂肪注入
/>
/>
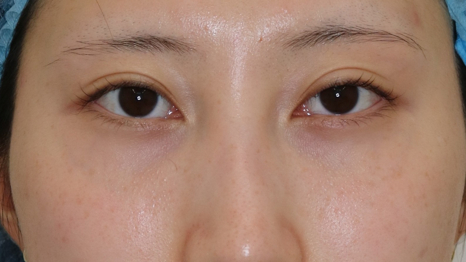
40代女性。
目の下の窪みに脂肪注入を行った患者様の症例写真です。
腹部から脂肪をわずかに吸引し、生着しやすいよう遠心処理を行って目の下の窪みに注入しました。
手術時間はわずか30分でした。顔の繊細な部位への注入ですので、脂肪の塊が大きいと凹凸ができる原因となったり、生着不良となることがあります。 こちらの問題を解決する目的で、非常に細いカテーテルを用いて脂肪を吸引しました。
いつも疲れた表情のように見えてしまう…そのような悩みを解決する際に脂肪注入が有効なことがあります。 一旦生着した脂肪組織はヒアルロン酸のように吸収・消失してしまうことがありません。
- 施術費用
- ¥415,800(税込)
※価格改定などにより、施術当時の価格や実際の価格と異なる場合があります。現在の料金は料金案内をご確認ください。
- 考えられるリスク・副作用
-
- 出血
- 感染
- 皮下出血
- 凹凸の出現
- 効果不十分
下まぶたの窪みへの脂肪注入



目の下の窪みに脂肪注入を行った患者様の症例写真です。
腹部から脂肪をわずかに吸引し、生着しやすいよう遠心処理を行って目の下の窪みに注入しました。
顔の繊細な部位への注入ですので、脂肪の塊が大きいと凹凸ができる原因となったり、生着不良となったりします。
これを解決する目的で非常に細いカテーテルを用いて脂肪を吸引しました。
いつも疲れた表情のように見えてしまう…そのような悩みを解決する際に脂肪注入が有効なことがあります。
一旦生着した脂肪組織はヒアルロン酸のように吸収・消失してしまうことがありません。
- 施術費用
- ¥415,800(税込)
※価格改定などにより、施術当時の価格や実際の価格と異なる場合があります。現在の料金は料金案内をご確認ください。
- 考えられるリスク・副作用
-
- 出血
- 感染
- 皮下出血
- 凹凸の出現
- 効果不十分
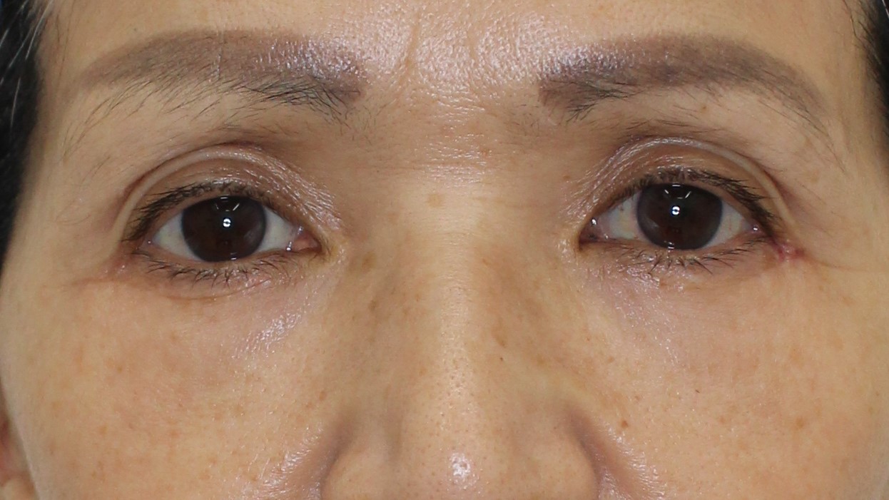
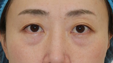
下眼瞼脱脂術の症例写真
下眼瞼脱脂術による下まぶたの影クマ/たるみ取り



40代女性。
下瞼の影クマ取り(下眼瞼脱脂)を行った患者様の症例写真です。
眼窩脂肪の突出が認められ、皮膚のたるみは高度ではない、という判断でハムラなどではなく脱脂術を計画しました。術後、眼窩脂肪の突出が改善し、脱脂術のメインの目的である凹凸は達成されました。青クマは完全には消えていませんが少し改善されました。よりよくするにはベビーコラーゲンや脂肪注入などが考えられます。
- 施術費用
- ¥308,000(税込)
- 考えられるリスク・副作用
-
- 内出血
- 腫れ
- 感染
- 出血
下眼瞼脱脂術による下まぶたの影クマ/たるみ取り



40代女性。
この方は眼窩脂肪の突出がメイン。
中顔面の痩せ感もありましたが、まずは手術時間も短くダウンタイムの少ない脱脂術を選択されました。
- 施術費用
- ¥308,000(税込)
※価格改定などにより、施術当時の価格や実際の価格と異なる場合があります。現在の料金は料金案内をご確認ください。
- 考えられるリスク・副作用
-
- 内出血
- 腫れ
- 感染
- 出血
下眼瞼脱脂術による下まぶたの影クマ/たるみ取り



50代女性。
下瞼の影クマ取り(下眼瞼脱脂)を行った患者様の症例写真です。
皮膚を切らずに、瞼の裏側から脂肪を除去しました。
術後は2、3日のテーピングをおすすめしております。
テープをはずしたらすぐにメイクをしていただくことが可能です。
- 施術費用
- ¥308,000(税込)
※価格改定などにより、施術当時の価格や実際の価格と異なる場合があります。現在の料金は料金案内をご確認ください。
- 考えられるリスク・副作用
-
- 内出血
- 腫れ
- 感染
- 出血
下眼瞼脱脂術による下まぶたの影クマ/たるみ取り



20代女性。
下瞼の影クマについてご相談いただきました。
下瞼部の眼窩脂肪が突出しており、疲れているかのような容貌となっていました。
皮膚を切らずに、瞼の裏側から脂肪を除去しました。
手術時間は30分から40分程度。術後は2、3日のテーピングをおすすめしております。
テープをはずしたらすぐにメイクをしていただくことが可能です。
- 施術費用
- ¥308,000(税込)
※価格改定などにより、施術当時の価格や実際の価格と異なる場合があります。現在の料金は料金案内をご確認ください。
- 考えられるリスク・副作用
-
- 内出血
- 腫れ
- 感染
- 出血
下眼瞼脱脂術による下まぶたの影クマ/たるみ取り



40代女性。
目の下のクマに対し他院でベビーコラーゲンの注入を続けておられましたが、効果を感じづらくなってきたとのことで外科的治療を検討してご来院されました。
脱脂の量を慎重に検討し、ほどよく除去しました。
- 施術費用
- ¥308,000(税込)
※価格改定などにより、施術当時の価格や実際の価格と異なる場合があります。現在の料金は料金案内をご確認ください。
- 考えられるリスク・副作用
-
- 内出血
- 腫れ
- 感染
- 出血
下眼瞼脱脂術による下まぶたの影クマ/たるみ取り



下瞼の脱脂を経結膜的に行いました。
影クマがすっきりと取れ、平らな目元になり、疲れて浮腫んだような印象が解消しました。
- 施術費用
- ¥308,000(税込)
※価格改定などにより、施術当時の価格や実際の価格と異なる場合があります。現在の料金は料金案内をご確認ください。
- 考えられるリスク・副作用
-
- 内出血
- 腫れ
- 感染
- 出血
下眼瞼脱脂術による下まぶたの影クマ/たるみ取り



顔の表面に傷をつけず、瞼の裏側から下瞼の脱脂術をおこないました。手術時間は30分から40分ほど。
施術後は3日前後テープを貼って過ごしていただいています。
目の下のたるみを解消したことで、お顔の表情から疲労感が消失しました。
- 施術費用
- ¥308,000(税込)
※価格改定などにより、施術当時の価格や実際の価格と異なる場合があります。現在の料金は料金案内をご確認ください。
- 考えられるリスク・副作用
-
- 内出血
- 腫れ
- 感染
- 出血
下眼瞼脱脂術による下まぶたの影クマ/たるみ取り




下瞼の脂肪が突出し、陰クマを形成して疲労感を感じさせる容貌となっていたため、下眼瞼脱脂術を行った患者様の症例写真です。
手術直後にも、内出血や腫れはほぼ生じず、手術後2~3日は下眼瞼部にテーピングをして過ごしていただきました。手術後1週間が経過した際には、脂肪が適度に除去された状態になり、陰クマがほとんどなくなりました。
- 施術費用
- ¥308,000(税込)
※価格改定などにより、施術当時の価格や実際の価格と異なる場合があります。現在の料金は料金案内をご確認ください。
- 考えられるリスク・副作用
-
- 内出血
- 腫れ
- 感染
- 出血
下眼瞼脱脂術による下まぶたの影クマ/たるみ取り



下瞼の影クマ取り(下眼瞼脱脂)を行った患者様の症例写真です。
皮膚を切らずに、瞼の裏側から脂肪を除去しました。
術後は2、3日のテーピングをおすすめしております。
テープをはずしたらすぐにメイクをしていただくことが可能です。
- 施術費用
- ¥330,000(税込)
※価格改定などにより、施術当時の価格や実際の価格と異なる場合があります。現在の料金は料金案内をご確認ください。
- 考えられるリスク・副作用
-
- 内出血
- 腫れ
- 感染
- 出血
下眼瞼脱脂術による下まぶたの影クマ/たるみ取り



下瞼の影クマ取り(下眼瞼脱脂)を行った患者様の症例写真です。
皮膚を切らずに、瞼の裏側から脂肪を除去しました。
術後は2、3日のテーピングをおすすめしております。
テープをはずしたらすぐにメイクをしていただくことが可能です。
- 施術費用
- ¥308,000(税込)
※価格改定などにより、施術当時の価格や実際の価格と異なる場合があります。現在の料金は料金案内をご確認ください。
- 考えられるリスク・副作用
-
- 内出血
- 腫れ
- 感染
- 出血
下眼瞼脱脂術による下まぶたの影クマ/たるみ取り



すなおクリニックは、下瞼のたるみについて、多くの患者さんにご相談をいただいております。
下瞼の脂肪が突出し、影クマができた場合、治療の選択肢は瞼の裏側から脂肪を抜くか、
ヒアルロン酸を注入するか、脂肪を注入するか・・・。
カウンセリングでお一人お一人に適切な方法をご提案いたします。
手術時間は30分から40分ほど。
手術後1週間が経過した際には、脂肪が適度に除去された状態になり、影クマがほとんどなくなりました。
- 施術費用
- ¥308,000(税込)
※価格改定などにより、施術当時の価格や実際の価格と異なる場合があります。現在の料金は料金案内をご確認ください。
- 考えられるリスク・副作用
-
- 内出血
- 腫れ
- 感染
- 出血
下眼瞼脱脂術による下まぶたの影クマ/たるみ取り





下瞼の影クマ取り(下眼瞼脱脂)を行った患者様の症例写真です。
皮膚を切らずに、瞼の裏側から脂肪を除去しました。 術後は2、3日のテーピングをおすすめしております。 テープをはずしたらすぐにメイクをしていただくことが可能です。
- 施術費用
- ¥308,000(税込)
- 考えられるリスク・副作用
-
- 内出血
- 腫れ
- 感染
- 出血
下眼瞼脱脂術による下まぶたの影クマ/たるみ取り



下瞼の影クマについてご相談をいただいた症例です。
下瞼部の眼窩脂肪が突出しており、疲れているかのような容貌となっていました。
皮膚を切らずに、瞼の裏側から脂肪を除去しました。
手術時間は30分から40分程度。術後は2,3日のテーピングをおすすめしております。
テープをはずしたらすぐにメイクをしていただくことが可能です。
- 施術費用
- ¥308,000(税込)
※価格改定などにより、施術当時の価格や実際の価格と異なる場合があります。現在の料金は料金案内をご確認ください。
- 考えられるリスク・副作用
-
- 内出血
- 腫れ
- 感染
- 出血
下眼瞼脱脂術による下まぶたの影クマ/たるみ取り



下瞼の影クマ取り(下眼瞼脱脂)を行った患者様の症例写真です。
皮膚を切らずに、瞼の裏側から脂肪を除去しました。
術後は2、3日のテーピングをおすすめしております。
テープをはずしたらすぐにメイクをしていただくことが可能です。
- 施術費用
- ¥308,000(税込)
- 考えられるリスク・副作用
-
- 内出血
- 腫れ
- 感染
- 出血
下眼瞼脱脂術による下まぶたの影クマ/たるみ取り



下瞼の影クマについてご相談いただきました。
下瞼部の眼窩脂肪が突出しており、疲れているかのような容貌となっていたため、皮膚を切らずに、瞼の裏側から脂肪を除去しました。
手術時間は30分から40分程度で、術後は2,3日のテーピングをおすすめしております。
テープをはずしたらすぐにメイクをしていただくことが可能です。
- 施術費用
- ¥308,000(税込)
※価格改定などにより、施術当時の価格や実際の価格と異なる場合があります。現在の料金は料金案内をご確認ください。
- 考えられるリスク・副作用
-
- 腫れ
- 内出血
- 出血、感染
- 左右差
- 感覚異常
- 下眼瞼の外反
下眼瞼脱脂術による下まぶたの影クマ/たるみ取り



下瞼の影クマ取り(下眼瞼脱脂)を行った患者様の症例写真です。
皮膚を切らずに、瞼の裏側から脂肪を除去しました。
術後は2、3日のテーピングをおすすめしております。
テープをはずしたらすぐにメイクをしていただくことが可能です。
- 施術費用
- ¥308,000(税込)
※価格改定などにより、施術当時の価格や実際の価格と異なる場合があります。現在の料金は料金案内をご確認ください。
- 考えられるリスク・副作用
-
- 内出血
- 腫れ
- 感染
- 出血
Case 17
下眼瞼脱脂術による下まぶたの影クマ/たるみ取り



眼窩脂肪が突出してきて涙袋と一体化してしまい、涙袋が隠されてしまうことがあります。
この方は皮膚を切らずに、瞼の裏側から眼窩脂肪を除去しました。
術後、眼窩脂肪のふくらみが消失し、涙袋がはっきりとでて魅力的な目元になられました。
術後は2、3日のテーピングをおすすめしております。 テープをはずしたらすぐにメイクをしていただくことが可能です。
- 施術費用
- ¥308,000(税込)
※価格改定などにより、施術当時の価格や実際の価格と異なる場合があります。現在の料金は料金案内をご確認ください。
- 考えられるリスク・副作用
-
- 内出血
- 腫れ
- 感染
- 出血
下眼瞼脱脂術による下まぶたの影クマ/たるみ取り



下瞼の影クマ取り(下眼瞼脱脂)を行った患者様の症例写真です。
皮膚を切らずに、瞼の裏側から脂肪を除去しました。
術後は2、3日のテーピングをおすすめしております。
涙袋も綺麗にでて元気そうな目元に変化されました。
- 施術費用
- ¥330,000(税込)
※価格改定などにより、施術当時の価格や実際の価格と異なる場合があります。現在の料金は料金案内をご確認ください。
- 考えられるリスク・副作用
-
- 内出血
- 腫れ
- 感染
- 出血
下眼瞼脱脂術による下まぶたの影クマ/たるみ取り





下瞼の影クマ取り(下眼瞼脱脂)を行った患者様の症例写真です。
皮膚を切らずに、瞼の裏側から脂肪を除去しました。
術後は2、3日のテーピングをおすすめしております。テープをはずしたらすぐにメイクをしていただくことが可能です。
- 施術費用
- ¥330,000(税込)
※価格改定などにより、施術当時の価格や実際の価格と異なる場合があります。現在の料金は料金案内をご確認ください。
- 考えられるリスク・副作用
-
- 内出血
- 腫れ
- 感染
- 出血
下眼瞼脱脂術+脂肪注入の症例写真
下瞼脱脂術+脂肪注入(CRF・マイクロCRF)によるクマ/たるみ取り



40代女性。
下瞼の突出した脂肪を取り除き、患者様から採取したご自身の脂肪を専用の遠心分離機器でコンデンス(濃縮)して生成した新鮮な濃縮多幹細胞脂肪の注入を行った患者様の症例写真です。生着した脂肪は永久的に留まりますので、何度も繰り返し注入する必要はありません。青クマと影クマの両方を一度に解決する手術法です。
- 施術費用
- ¥495,000(税込)
- 考えられるリスク・副作用
-
- 内出血
- 腫れ
- 感染
- 出血
- 凹凸の出現
- 効果不十分
下瞼脱脂術+脂肪注入(CRF・マイクロCRF)によるクマ/たるみ取り



40代女性。
下瞼の突出した脂肪を取り除き、その後、青クマを改善させるようにマイクロコンデンスリッチ脂肪注入を行った患者様の症例写真です。
患者様から採取したご自身の脂肪を濃縮し、専用機器で細胞をさらに細かく粉砕した滑らかなマイクロCRFを注入しています。生着した脂肪は永久的に留まりますので、何度も繰り返し注入する必要はありません。
青クマと影クマの療法を一度に解決する手術法です。
- 施術費用
- ¥495,000(税込)
※価格改定などにより、施術当時の価格や実際の価格と異なる場合があります。現在の料金は料金案内をご確認ください。
- 考えられるリスク・副作用
-
- 内出血
- 腫れ
- 感染
- 出血
- 凹凸の出現
- 効果不十分
下瞼脱脂術+脂肪注入(CRF・マイクロCRF)によるクマ/たるみ取り



40代男性。
下瞼の突出した脂肪を取り除き、患者様から採取したご自身の脂肪を専用の遠心分離機器でコンデンス(濃縮)して生成した新鮮な濃縮多幹細胞脂肪の注入を行った患者様の症例写真です。
ご自身の脂肪から抽出した質の高い脂肪細胞を注入するため、生着率が高く、半永久的な効果が期待できます。
青クマ(眼輪筋の透見による皮膚色の問題)+影クマ(目の下の凹凸による影)があり、疲れた印象に見えてしまっていましたが、手術後目の下の凹凸が平らになり、目元が明るくなりました。
- 施術費用
- 【通常】 ¥723,800(税込)
【②Aパーツ部分モニター価格】 ¥651,420(税込)
※価格改定などにより、施術当時の価格や実際の価格と異なる場合があります。現在の料金は料金案内をご確認ください。
- 考えられるリスク・副作用
-
- 内出血
- 腫れ
- 感染
- 出血
- 凹凸の出現
- 効果不十分
下瞼脱脂術+脂肪注入(CRF・マイクロCRF)によるクマ/たるみ取り



20代女性。
下瞼の突出した脂肪を取り除き、その後、青クマを改善させるようにマイクロコンデンスリッチ(マイクロCRF)脂肪注入を行った患者様の症例写真です。
患者様から採取したご自身の脂肪を濃縮し、専用機器で細胞をさらに細かく粉砕した滑らかなマイクロCRFを注入しています。
生着した脂肪は永久的に留まりますので、何度も繰り返し注入する必要はありません。
青クマと影クマの両方を一度に解決する手術法です。
- 施術費用
- 下眼瞼脱脂+マイクロCRF
¥723,800(税込)
※価格改定などにより、施術当時の価格や実際の価格と異なる場合があります。現在の料金は料金案内をご確認ください。
- 考えられるリスク・副作用
-
- 内出血
- 腫れ
- 感染
- 出血
- 凹凸の出現
- 効果不十分
Case 5
下瞼脱脂術+脂肪注入(CRF・マイクロCRF)によるクマ/たるみ取り



30代女性。
下瞼の突出した脂肪を取り除き、その後、青クマを改善させるようにマイクロコンデンスリッチ脂肪注入を行った患者様の症例写真です。
患者様から採取したご自身の脂肪を濃縮し、専用機器で細胞をさらに細かく粉砕した滑らかなマイクロCRFを注入しています。生着した脂肪は永久的に留まりますので、何度も繰り返し注入する必要はありません。
青クマと影クマの療法を一度に解決する手術法です。
- 施術費用
- 【定価】 ¥723,800(税込)
【特別プチモニター価格】 ¥528,000(税込)
※価格改定などにより、施術当時の価格や実際の価格と異なる場合があります。現在の料金は料金案内をご確認ください。
- 考えられるリスク・副作用
-
- 内出血
- 腫れ
- 感染
- 出血
- 凹凸の出現
- 効果不十分
下瞼脱脂術+脂肪注入(CRF・マイクロCRF)によるクマ/たるみ取り



脂肪の突出以外に、眼頬溝の窪みが比較的目立ち、また、写真ではわかりづらいですが青グマも目立つ方でした。
経結膜的脱脂術とコンデンスリッチファットの注入をしました。
目の下がつややかで平らに。涙袋が際立ってますます優しい表情になられました。
効果が半永久的に持続する点が、OPEのよいところです。
- 施術費用
- 【定価】 ¥723,800(税込)
【モニター価格】 ¥462,000(税込)
※価格改定などにより、施術当時の価格や実際の価格と異なる場合があります。現在の料金は料金案内をご確認ください。
- 考えられるリスク・副作用
-
- 内出血
- 腫れ
- 感染
- 出血
- 凹凸の出現
- 効果不十分
Case 7
下瞼脱脂術+脂肪注入(CRF・マイクロCRF)によるクマ/たるみ取り





術前は眼窩脂肪の突出と、少し中顔面の痩せ感があります。
下瞼の皮膚のたるみは少ないですが、皮膚が薄く、眼輪筋が透けています。
脱脂で余分な脂肪を取り除き、頬のボリュームの少ない部分と、青ぐまが目立つ部分に脂肪を注入することとなりました。
手術後3か月。目の下の膨らみがすっきりし、青クマが改善しました。
- 施術費用
- ¥528,000(税込)
※価格改定などにより、施術当時の価格や実際の価格と異なる場合があります。現在の料金は料金案内をご確認ください。
- 考えられるリスク・副作用
-
- 内出血
- 腫れ
- 感染
- 出血
- 凹凸の出現
- 効果不十分
Case 8
下瞼脱脂術+脂肪注入(CRF・マイクロCRF)によるクマ/たるみ取り





術前は眼窩脂肪の突出と青クマ、中顔面のボリューム不足を認めました。
手術後3か月。凹凸を修正するほうが簡単で、青クマのほうが少し難しいのですが、
ナノ化した脂肪(CRF)注入により青クマの改善もみられ本当によかったです。
- 施術費用
- ¥528,000(税込)
※価格改定などにより、施術当時の価格や実際の価格と異なる場合があります。現在の料金は料金案内をご確認ください。
- 考えられるリスク・副作用
-
- 内出血
- 腫れ
- 感染
- 出血
- 凹凸の出現
- 効果不十分
Case 9
下瞼脱脂術+脂肪注入(CRF・マイクロCRF)によるクマ/たるみ取り





術前は、窩脂肪の突出と中顔面のボリューム不足がありました。
手術後3か月。目の下の凹凸が解消し、若返った印象です。疲労感が一気に消えました。
- 施術費用
- ¥528,000(税込)
※価格改定などにより、施術当時の価格や実際の価格と異なる場合があります。現在の料金は料金案内をご確認ください。
- 考えられるリスク・副作用
-
- 内出血
- 腫れ
- 感染
- 出血
- 凹凸の出現
- 効果不十分
Case 10
下瞼脱脂術+脂肪注入(CRF・マイクロCRF)によるクマ/たるみ取り





術前は、眼窩脂肪が大きすぎるというわけでもなく、眼窩内側下方の凹みが深すぎるというわけでもないのですが、
それでもやはり厳然としてクマが存在していました。
手術後1か月。ダウンタイムをぬけ、大変美しくしあがりました。涙袋がくっきりされたのは脱脂の効果かと思います。
- 施術費用
- ¥528,000(税込)
※価格改定などにより、施術当時の価格や実際の価格と異なる場合があります。現在の料金は料金案内をご確認ください。
- 考えられるリスク・副作用
-
- 内出血
- 腫れ
- 感染
- 出血
- 凹凸の出現
- 効果不十分
ハムラ法の症例写真
ハムラ法による下まぶたのたるみ取り



50代女性。
目の下のたるみ治療を目的としてハムラ法手術を行いました。
下瞼のキワを切開し、眼窩脂肪をくぼんでいる部分(瞼頬溝)に移動させました。
この位置の傷は最終的にほとんど目立ちづらくなります。
- 施術費用
- ¥440,000(税込)
※価格改定などにより、施術当時の価格や実際の価格と異なる場合があります。現在の料金は料金案内をご確認ください。
- 考えられるリスク・副作用
-
- 腫れ
- 内出血
- 出血、感染
- 左右差
- 感覚異常
- 下眼瞼の外反
ハムラ法







60代女性。
ハムラ法による下まぶたのたるみ取りを行った症例です。
皮膚のゆるみが高度な場合には、皮膚の量をしっかり減らして眼輪筋を引き締めることのできる「ハムラ法」という手術法がよく用いられます。
目の下の皮膚が余り、「段」ができてしまい、疲れた印象になってしまっていましたが、術後はハリのある美しい目元に仕上がりました。
- 施術費用
-
両側ハムラ法
¥495,000
- 考えられるリスク・副作用
-
- 腫れ
- 内出血
- 感染
- 創離解
- 左右差
- 感覚異常
- 凹凸の出現
- 効果不十分
ハムラ法+眉下切開(+ZOスキンヘルス)





60代女性。
上瞼のたるみの治療として、眉下切開法を行い、目の下のたるみ治療を目的としてハムラ法手術を行った患者様の症例です。手術後にZOスキンヘルスで肌の治療もされたため見違えるように綺麗になられました。
- 施術費用
-
両側ハムラ法
¥495,000
両側眉下切開法
¥330,000総額:
¥825,000(税込)
- 考えられるリスク・副作用
-
- 腫れ
- 内出血
- 感染
- 創離解
- 左右差
- 感覚異常
- 凹凸の出現
- 効果不十分
ハムラ法による下まぶたのたるみ取り







50代女性。
ハムラ法による下まぶたのたるみ取りを行った症例です。
皮膚のゆるみが高度な場合には、皮膚の量をしっかり減らして眼輪筋を引き締めることのできる「ハムラ法」という手術法がよく用いられます。
目の下の皮膚が余り、「段」ができてしまい、疲れた印象になってしまっていましたが、術後はハリのある美しい目元に仕上がりました。
- 施術費用
- ¥528,000(税込)
※価格改定などにより、施術当時の価格や実際の価格と異なる場合があります。現在の料金は料金案内をご確認ください。
- 考えられるリスク・副作用
-
- 腫れ
- 内出血
- 出血、感染
- 左右差
- 感覚異常
- 下眼瞼の外反
ハムラ法による下まぶたのたるみ取り







70代女性。
目の下から中顔面にかけて皮膚が大きくたるみ、ドレープ状になられていました。
皮膚の余剰と組織量の不足、脂肪の再配置を目的としてハムラ法手術と脂肪(CRF)注入を行いました。
術後は眼の下から中顔面のボリュームと皮膚の状態が改善し、若々しくなられました。
- 施術費用
- ¥830,060円(税込)※筋肉注射使用(+¥11,000)
※価格改定などにより、施術当時の価格や実際の価格と異なる場合があります。現在の料金は料金案内をご確認ください。
- 考えられるリスク・副作用
-
- 腫れ
- 内出血
- 出血、感染
- 左右差
- 感覚異常
- 下眼瞼の外反
ハムラ法による下まぶたのたるみ取り







ハムラ法による下瞼のたるみ取りを行いました。
目の下の皮膚が余り、疲れた印象になってしまっておられましたが、
術後は若々しい印象に変わられました。
- 施術費用
- ¥495,000円(税込)
※価格改定などにより、施術当時の価格や実際の価格と異なる場合があります。現在の料金は料金案内をご確認ください。
- 考えられるリスク・副作用
-
- 腫れ
- 内出血
- 出血、感染
- 左右差
- 感覚異常
- 下眼瞼の外反
ハムラ法による下まぶたのたるみ取り









ハムラ法による下まぶたのたるみ取りを行った症例です。
皮膚のゆるみが高度な場合には、皮膚の量をしっかり減らして眼輪筋を引き締めることのできる「ハムラ法」という手術法がよく用いられます。
目の下の皮膚が余り、「段」ができてしまい、疲れた印象になってしまっていましたが、術後はハリのある美しい目元に仕上がりました。
- 施術費用
-
両側ハムラ法
¥528,000
※価格改定などにより、施術当時の価格や実際の価格と異なる場合があります。現在の料金は料金案内をご確認ください。
- 考えられるリスク・副作用
-
- 腫れ
- 内出血
- 感染
- 創離解
- 左右差
- 感覚異常
- 凹凸の出現
- 効果不十分
ハムラ法による下まぶたのたるみ取り







ハムラ法による下まぶたのたるみ取りを行った症例です。皮膚のゆるみが高度な場合には、皮膚の量をしっかり減らして眼輪筋を引き締めることのできる「ハムラ法」という手術法がよく用いられます。
- 施術費用
-
両側ハムラ法
¥495,000
※価格改定などにより、施術当時の価格や実際の価格と異なる場合があります。現在の料金は料金案内をご確認ください。
- 考えられるリスク・副作用
-
- 腫れ
- 内出血
- 感染
- 創離解
- 左右差
- 感覚異常
- 凹凸の出現
- 効果不十分
ハムラ法による下まぶたのたるみ取り





ハムラ法による下まぶたのたるみ取りを行った症例です。
皮膚のゆるみが高度な場合には、皮膚の量をしっかり減らして眼輪筋を引き締めることのできる「ハムラ法」という手術法がよく用いられます。
目の下の皮膚が余り、「段」ができてしまい、疲れた印象になってしまっていましたが、術後はハリのある美しい目元に仕上がりました。
- 施術費用
- ¥440,000(税込)
※価格改定などにより、施術当時の価格や実際の価格と異なる場合があります。現在の料金は料金案内をご確認ください。
- 考えられるリスク・副作用
-
- 腫れ
- 内出血
- 出血、感染
- 左右差
- 感覚異常
- 下眼瞼の外反
ハムラ法による下まぶたのたるみ取り



目の下のたるみ治療を目的としてハムラ法手術を行いました。
下瞼のキワを切開し、眼窩脂肪をくぼんでいる部分(瞼頬溝)に移動させました。この位置の傷は最終的にほとんど目立ちづらくなります。
- 施術費用
- ¥440,000(税込)
※価格改定などにより、施術当時の価格や実際の価格と異なる場合があります。現在の料金は料金案内をご確認ください。
- 考えられるリスク・副作用
-
- 腫れ
- 内出血
- 出血、感染
- 左右差
- 感覚異常
- 下眼瞼の外反
ハムラ法による下まぶたのたるみ取り



この方は影クマがメインでした。皮膚のたるみも多くみられたため表ハムラ法を受けていただきました。
術後は目の下がすっきりされましたね!傷跡も目立ちません。
- 施術費用
- ¥528,000(税込)
※価格改定などにより、施術当時の価格や実際の価格と異なる場合があります。現在の料金は料金案内をご確認ください。
- 考えられるリスク・副作用
-
- 腫れ
- 内出血
- 出血、感染
- 左右差
- 感覚異常
- 下眼瞼の外反
ハムラ法による下まぶたのたるみ取り



眼窩脂肪の突出、皮膚のたるみから表ハムラ法が適切と診断されました。スナップテストなども行い適応と判断しました。
術後は目の下のたるみが改善し、涼やかですっきりした目元になられました。
- 施術費用
- ¥528,000(税込)
※価格改定などにより、施術当時の価格や実際の価格と異なる場合があります。現在の料金は料金案内をご確認ください。
- 考えられるリスク・副作用
-
- 腫れ
- 内出血
- 出血、感染
- 左右差
- 感覚異常
- 下眼瞼の外反
Case 13
ハムラ法による下まぶたのたるみ取り





手術前は目の下の眼窩脂肪が膨らみ、皮膚および眼輪筋のたるみが認められました。
術後は目の下がすっきりとし、さらに若々しい印象になられました。
- 施術費用
- ¥528,000(税込)
※価格改定などにより、施術当時の価格や実際の価格と異なる場合があります。現在の料金は料金案内をご確認ください。
- 考えられるリスク・副作用
-
- 腫れ
- 内出血
- 出血、感染
- 左右差
- 感覚異常
- 下眼瞼の外反
Case 14
ハムラ法による下まぶたのたるみ取り







目の下の皮膚・眼輪筋のたるみと眼窩脂肪の突出がありました。
手術後3か月。傷の赤みがまだ少しありますが、下瞼の膨らみと皮膚のたるみが解消し、すっきりされました。
しっかり若返っておられます。
- 施術費用
- ¥528,000(税込)
※価格改定などにより、施術当時の価格や実際の価格と異なる場合があります。現在の料金は料金案内をご確認ください。
- 考えられるリスク・副作用
-
- 腫れ
- 内出血
- 出血、感染
- 左右差
- 感覚異常
- 下眼瞼の外反
Case 15
ハムラ法による下まぶたのたるみ取り





手術前は、涙袋の下に眼窩脂肪の突出と眼輪筋、皮ふのたるみがみられました。
手術後3か月。涙袋をキープしつつクマが改善しました。
ちょっとしたことでかなり印象が変わりますね。
- 施術費用
- ¥528,000(税込)
※価格改定などにより、施術当時の価格や実際の価格と異なる場合があります。現在の料金は料金案内をご確認ください。
- 考えられるリスク・副作用
-
- 腫れ
- 内出血
- 出血、感染
- 左右差
- 感覚異常
- 下眼瞼の外反
Case 16
ハムラ法による下まぶたのたるみ取り





術前はお目元の皮膚のたるみやシワが少し目立っており、少し疲れた印象を受けます。
術後術後3ヶ月、クマが改善され若々しく見えます。目元がとてもすっきりし、全体的に明るい表情になられました
- 施術費用
- ¥528,000(税込)
※価格改定などにより、施術当時の価格や実際の価格と異なる場合があります。現在の料金は料金案内をご確認ください。
- 考えられるリスク・副作用
-
- 腫れ
- 内出血
- 出血、感染
- 左右差
- 感覚異常
- 下眼瞼の外反
ハムラ法+脂肪注入の症例写真
脂肪注入による中顔面の改善







70代女性。
目の下から中顔面にかけて皮膚が大きくたるみ、ドレープ状になられていました。
皮膚の余剰と組織量の不足、脂肪の再配置を目的としてハムラ法手術と脂肪(CRF)注入を行いました。
術後は眼の下から中顔面のボリュームと皮膚の状態が改善し、若々しくなられました。
- 施術費用
- ¥830,060円(税込)※筋肉注射使用(+¥11,000)
※価格改定などにより、施術当時の価格や実際の価格と異なる場合があります。現在の料金は料金案内をご確認ください。
- 考えられるリスク・副作用
-
- 出血
- 感染
- 皮下出血
- 凹凸の出現
- 効果不十分
裏ハムラ法の症例写真
裏ハムラ法による下瞼のたるみ取り





50代女性。
裏ハムラ法による下瞼のたるみ取りを行いました。
顔の表面に傷を残さず、眼窩脂肪のふくらみと眼窩縁のへこみを解消する手術法です。
眼窩縁のへこみがあり、中顔面のボリュームがある程度保たれている方に適しています。疲れた印象だったお目元が若々しくなられました。
- 施術費用
- ¥495,000円(税込)
※価格改定などにより、施術当時の価格や実際の価格と異なる場合があります。現在の料金は料金案内をご確認ください。
- 考えられるリスク・副作用
-
- 腫れ
- 内出血
- 出血・感染
- 左右差
- 感覚異常
裏ハムラ法による下瞼のたるみ取り



40代女性。
裏ハムラ法による下瞼のたるみ取りを行いました。
顔の表面に傷を残さず、眼窩脂肪のふくらみと眼窩縁のへこみを解消する手術法です。
眼窩縁のへこみがあり、中顔面のボリュームがある程度保たれている方に適しています。疲れた印象だったお目元が若々しくなられました。
- 施術費用
- ¥495,000円(税込)
※価格改定などにより、施術当時の価格や実際の価格と異なる場合があります。現在の料金は料金案内をご確認ください。
- 考えられるリスク・副作用
-
- 腫れ
- 内出血
- 出血・感染
- 左右差
- 感覚異常
裏ハムラ法による下瞼のたるみ取り





30代女性。
裏ハムラ法は眼窩脂肪を目の下の凹み部分にずらす手術です。
顔の表面に傷が残らないメリットや、脱脂術と異なり、眼窩縁の凹みが解消するメリットがあります。
- 施術費用
- ¥495,000円(税込)
※価格改定などにより、施術当時の価格や実際の価格と異なる場合があります。現在の料金は料金案内をご確認ください。
- 考えられるリスク・副作用
-
- 腫れ
- 内出血
- 出血・感染
- 左右差
- 感覚異常
裏ハムラ法による下瞼のたるみ取り





50代女性。
眼窩脂肪の膨らみがあり下眼瞼の皮膚も伸びてしまっていました。
脱脂のみでは下眼瞼に沢山の皺が増えてしまうリスクがあったため、ハムラ法を選択しました。
手術後3か月。目の下のクマが改善し、お顔の印象が変わりました
- 施術費用
- ¥495,000円(税込)
※価格改定などにより、施術当時の価格や実際の価格と異なる場合があります。現在の料金は料金案内をご確認ください。
- 考えられるリスク・副作用
-
- 腫れ
- 内出血
- 出血・感染
- 左右差
- 感覚異常
下瞼皮膚切除の症例写真
下瞼皮膚切除



40代女性。
下瞼のしわは、ボトックスを打つと不自然になりやすく、その他の方法でもマイルドな改善結果にとどまりやすい難しい部位です。
下瞼の皮膚を切除することによって、下瞼のしわを改善する手術を行いました。
キズは下睫毛の下で、非常に目立ちづらくなります。
- 施術費用
- ¥308,000(税込)
※価格改定などにより、施術当時の価格や実際の価格と異なる場合があります。現在の料金は料金案内をご確認ください。
- 考えられるリスク・副作用
-
- 内出血
- 腫れ
- 感染
- 出血
涙袋形成の症例写真
涙袋形成



20代女性。
ヒアルロン酸注入による涙袋形成を行った患者様の症例写真です。ヒアルロン酸を0.2mlずつ、合計0.4mlを下まぶたの際に注入しました。鈍針を使用し、内出血や血管内注入などの合併症を防ぎながら施術を行いました。施術後には涙袋がぷっくりとし、目元が華やかになりました。
- 施術費用
- ¥55,000~¥88,000(税込)
※価格改定などにより、施術当時の価格や実際の価格と異なる場合があります。現在の料金は料金案内をご確認ください。
- 考えられるリスク・副作用
-
- 内出血
- 腫れ
- 血管内注入
- 左右差を生じる
グラマラスライン形成の症例写真
グラマラスライン形成+目尻切開





20代女性。
グラマラスライン+目尻切開の手術症例です。目じり側がきゅっと上がったラインになっていたため、強そうな印象になってしまっていました。
手術により目じり側のラインを下げ、優しそうな印象になられました。
- 施術費用
- ¥539,000(税込)
※価格改定などにより、施術当時の価格や実際の価格と異なる場合があります。現在の料金は料金案内をご確認ください。
- 考えられるリスク・副作用
-
- 腫れ
- 皮下出血・結膜下出血
- 左右差
- 出血・感染・創離開
- 感覚異常
まずは
お気軽にご相談ください
- お電話から予約する
- WEBから予約する
医師勤務予定表
診察時間(受付時間)
| 日 | 月 | 火 | 水 | 木 | 金 | 土 |
|---|---|---|---|---|---|---|
| 休診日 | 10:00~19:00 | 9:30~18:00 | 10:00~18:00 | 9:30~17:30 | 9:30~18:00 | 9:40~18:00 |








