すなおクリニック院長の美容情報ブログ
目の下のクマを治療して明るく。 脱脂+CRF 堀先生のモニターさんご紹介
2025/12/16
こんにちは。
目の下のクマを御相談にお越しくださった
46歳のモニターさんをご紹介します!

堀先生が担当してくれました。

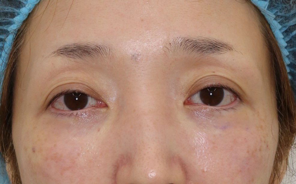
手術前のお写真。
眼窩脂肪が大きすぎるというわけでもなく
眼窩内側下方の凹みが深すぎるというわけでもないのですが
それでもやはり、厳然として存在するクマ。
こういう手術は却って難易度が高いです。
大きな山と深い谷を修正するより
小さな山と浅い川の落差をなだらかにするほうが
より細やかな技術と見る目が要求されるからです。
目の下のクマの手術が流行するとともに
トラブルも急増中ですね。
いい加減な勉強で、いい加減な技術をもって
いい加減に患者さんの体にさわるのは本当によくないです。
さすが堀先生。

笑顔もこんなに素敵になられました。
脱脂+CRFのリスクは
出血・感染・左右差・しこり形成・過剰脱脂など。
費用は
両側で¥528,000
パーツモニターさんは
¥469,900
です。
モニターさんにご協力くださった方
ありがとうございました。
これからの毎日が明るく楽しくなられますように!
最近の投稿

土屋 沙緒
Sunao Tsuchiya
京都の美容外科・美容皮膚科すなおクリニックの院長。医師として、そして一女性の立場から、ちょっと役立つ美容情報をお届けします。











