すなおクリニック院長の美容コラム
高すぎる二重ライン・ハム目・眼瞼下垂を修正した症例
2026/04/23
高すぎる二重ラインやハム目で悩む方へ
「二重の幅が広すぎる」
「不自然に見える」
「ハム目っぽい」
「まぶたが重く、目が開けにくい感じがする」
このようなお悩みでご相談に来られる方は
少なくありません。
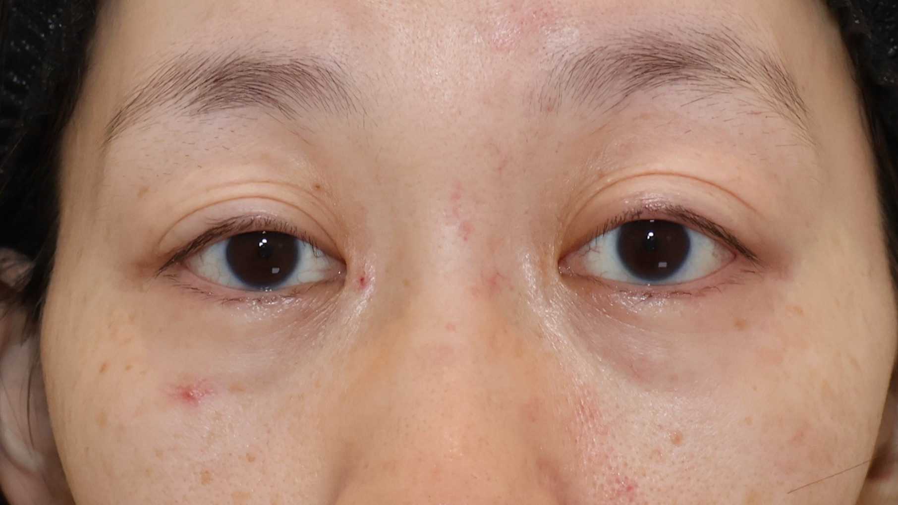
今回ご紹介するのは、二重の位置が高く、
ハム目の印象があり、さらに眼瞼下垂も認めた
30代後半の患者様の症例です。

私は患者様が来られると、
緊張しないでいただけるようお話しながらも、
ご相談内容については
かなり細かく観察します。
この方の右目の問題点は
二重ラインがいびつで食い込みが
浅すぎること

二重ラインの上に余分なラインが
もう1本はいってしまっていること。
まつ毛の上の皮膚が多くハム目になっていること。

目の縦幅が小さく、二重幅が広く
バランスが悪いため眠そうな印象に
なってしまっていることでした。

左目も同様に、二重幅と目の縦幅の
バランスが崩れてしまっていました。

二重ラインは1本ですが、高すぎて
浅すぎる状態でした
眼瞼下垂のため前頭筋に力がはいり、
眉があがってしまっていました。

また、まつ毛の上の皮膚が余り
ハム目の状態となっていました。

また、まつ毛の上の皮膚が余り
ハム目の状態となっていました。
高すぎる二重ラインの修正が難しい理由
高い二重ラインの修正は、通常の二重整形よりも難易度が
高い修正手術です。
なぜなら、単純に低い位置に新しい二重ラインを
作ればよいわけではないからです。
以前の手術によってできた高い位置の癒着や瘢痕が残っていると、
新しく低い位置にラインを設定しても、
もとの高い位置に再び引き込まれ
二重ラインが複数に見えたり
食い込みが強く残ったりすることがあります。
そのため、高い二重の修正では
古い癒着を解除すること
新しいラインで安定しやすい状態をつくること
再癒着を防ぐ工夫を行うこと
がとても重要になります。
ハム目とは何か
いわゆる「ハム目」とは、二重ラインの食い込みが強く、
まぶたが厚ぼったく見えたり
まつ毛の上の皮膚がふくらんで見えたりして
不自然な二重に見える状態を指して使われることが多い言葉です。
高すぎる二重ラインでは、
次のような特徴が出ることがあります。
✓二重幅が広すぎる
✓まぶたが腫れぼったく見える
✓食い込みが浅い
✓複数のラインが見える
✓眠そう、重そうな印象になる
✓目の開きが悪く見える
こうした症状は、単なるデザインの問題だけでなく
瘢痕や癒着、眼瞼下垂の影響が関係していることもあります。
高い二重ライン修正
高い二重ライン修正で重要なのは
「低く作ること」ではなく「再癒着を防ぐこと」。
高い二重の修正では、単に低い位置に線を
作るだけでは不十分です。
大切なのは、新しい二重ラインがその位置で安定し、
もとの高いラインに戻りにくくすることです。
今回の症例でも、旧ライン側の再癒着を防ぐために
補助的な工夫を併用しました。
眉毛つり上げとは
二重ラインから眉の位置付近まで皮下に糸を通し、
一定期間つり上げることで、高い位置での
再癒着を防ぐための工夫です。
旧ライン側に皮膚が引き込まれにくい
環境をつくる目的があります。
袋とじ法とは
二重ラインの上下の皮膚をつまむように縫合し、
高い位置での再癒着を防ぎながら
新しいラインを安定させるための工夫です。
これらの手技は、単に見た目を整えるため
だけではなく、修正手術で起こりやすい
“戻り”や multiple fold を防ぐための工夫として重要です。
今回の症例で行ったこと
今回の患者様の眼は
✓高すぎる二重ライン
✓ハム目の印象
✓眼瞼下垂
✓旧ラインでの再癒着リスク
が問題となっていました。
そこで手術では
高い位置の癒着を解除しながら
再癒着を防ぐ工夫を加え
二重ラインを自然な位置に下げ
必要な眼瞼下垂の調整も行いました。
その結果、
●複数あった二重ラインを整理することができた
●二重幅を自然な高さに下げることができた
●ハム目の印象が改善した
●目元全体がより自然に見えるようになった
という良好な結果が得られました。
高すぎる二重ラインの修正では、
●どこで癒着しているのか
●どの程度の瘢痕があるのか
●目の開きに問題はないか
●皮膚や脂肪の状態はどうか
●どの位置なら自然に見えるか
を丁寧に診断し、手術を計画することが重要です。
特に、高いラインの再癒着をどう防ぐかは
結果を左右する大きなポイントです。
当院では、修正手術においても
見た目の幅だけでなく、
自然さ・安定性・目の開きのバランスを
大切にしながら診療を行っています。

眼瞼下垂手術の料金は
モニター:両側¥391,600(税込)
眉毛吊り上げ法は両側¥55,000(税込)
です。
リスクは出血・腫れ・痛み・左右差・下垂の再発・
高い重瞼ラインの再癒着・下垂が改善しない・
違和感の発生
などです。
モニターさんにご協力くださった方
ありがとうございました!
これからの毎日が、明るく楽しくなられますように。
前の投稿
糸リフト・ヒアルロン酸・ボトックスを組み合わせた症例~自然な若返りは複合治療で~
次の投稿
40代女性のシミ・くすみが劇的改善|ピコフラクショナルレーザー×ZOスキンヘルス×内服のトリプルアプローチで叶える美肌治療の理論と実際
最近の投稿
土屋 沙緒
Sunao Tsuchiya
医師としての視点で見る美容の裏側や、院長個人の考え、日常の出来事についてnoteで発信しています。










