すなおクリニック院長の美容情報ブログ
目尻の二重ラインをアップするための眉下切開
2025/10/15
こんにちは。
最近目尻皮膚切除をした私。
インスタやyou tubeで報告しましたが、
その後、ちょいちょい患者様から
目尻の相談を受けるようになりました。
皆さま、見てくださり本当にありがとうございます。
顔にメスをいれた甲斐があったというものです。
中には、「先生すぐ切る~(笑)」という
笑えるコメントもありました。
私が眼瞼下垂手術やら眉下切開やら
してきたのをご存知なので、
「また切った」と思われたのだと思います。
そんなコメントも嬉しかったです。
だいぶ変な人でしょうか。

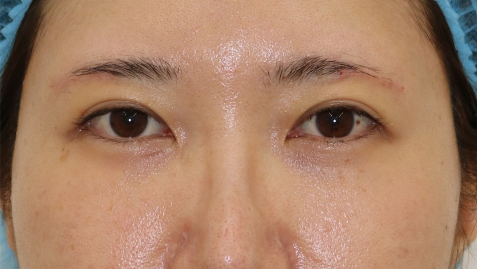
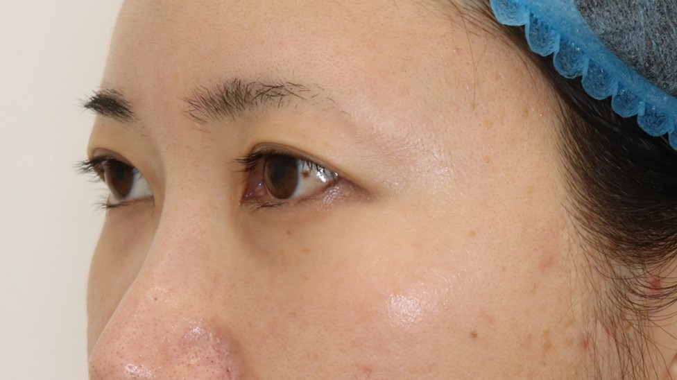
こちらの美しい患者さんも、目じり側の
皮膚が二重ラインに被さってくるのを
解消したい、とのことでした。

しっかり引き上げる場合、眉下切開と
目尻皮膚切除のどちらが傷が目立たないかを
考えます。
こちらの患者様の場合は眉下切開を外側で
デザインさせていただくのがベストと
判断しました。
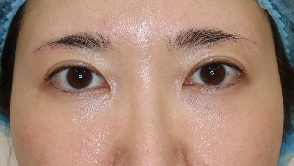
患者さんには傷が綺麗と喜んでいただき
素敵な笑顔も見られました。
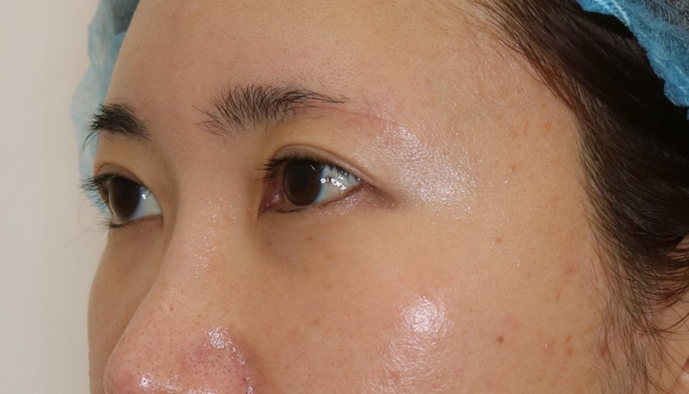
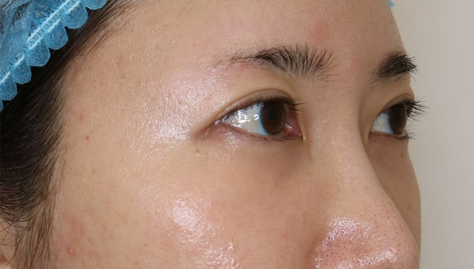
反対側の側方写真です。
眉下切開法といっても、患者さんのご希望によって
デザインは様々。
瞼の形をどう変化させたいのか
担当医とよく相談いただくことが
とても大切です。
目じりの形に悩んでいる方って
結構多いんだな~と改めて思う今日この頃。
どんな方法があなたの目にあっているのか
是非ご相談にいらしてくださいね。
眉下切開法のリスクは
皮下出血・血腫形成・感染・創部離開
・肥厚性瘢痕・左右差などです。
料金は両側で
¥385,000
パーツモニターさんは
¥338,800
です。
モニターさんに協力くださった方、
ありがとうございました!
これからの毎日が明るく楽しくなられますように!
最近の投稿

土屋 沙緒
Sunao Tsuchiya
京都の美容外科・美容皮膚科すなおクリニックの院長。医師として、そして一女性の立場から、ちょっと役立つ美容情報をお届けします。











