すなおクリニック院長の美容情報ブログ
上瞼が大きくたるんでいて、なおかつ二重ラインが綺麗に存在しない上瞼はどうするか?
2025/11/14
こんにちは。
本日は皮膚のたるみが高度で
二重ラインが綺麗に存在しない上瞼の方に
どのような手術をするか、
をテーマにお話します。

上瞼のたるみが高度であれば、
二重ラインの位置で皮膚を切除して
たるみをとるのは不適切です。
上瞼は、睫毛の際から眉下にかけて
上に行くほど厚みが増していきます。
睫毛の際近くの薄い皮膚は【貴重品】。
これを沢山とってしまうと分厚い皮膚で構成された
上瞼になってしまうため危険です。
このため、上瞼のたるみが高度であれば
眉下切開法か
前額リフトを行うことが推奨されます。
その際、上瞼のたるみは解消するわけですが
瞼をもちあげたところで
二重ラインが複数本あったり
二重ラインが薄くて微妙に途切れていたり
したら・・・?
その場合は全切開法または埋没法で
二重線を綺麗に入れなおすことで
すっきりしたキレイな目元を作ることができます。
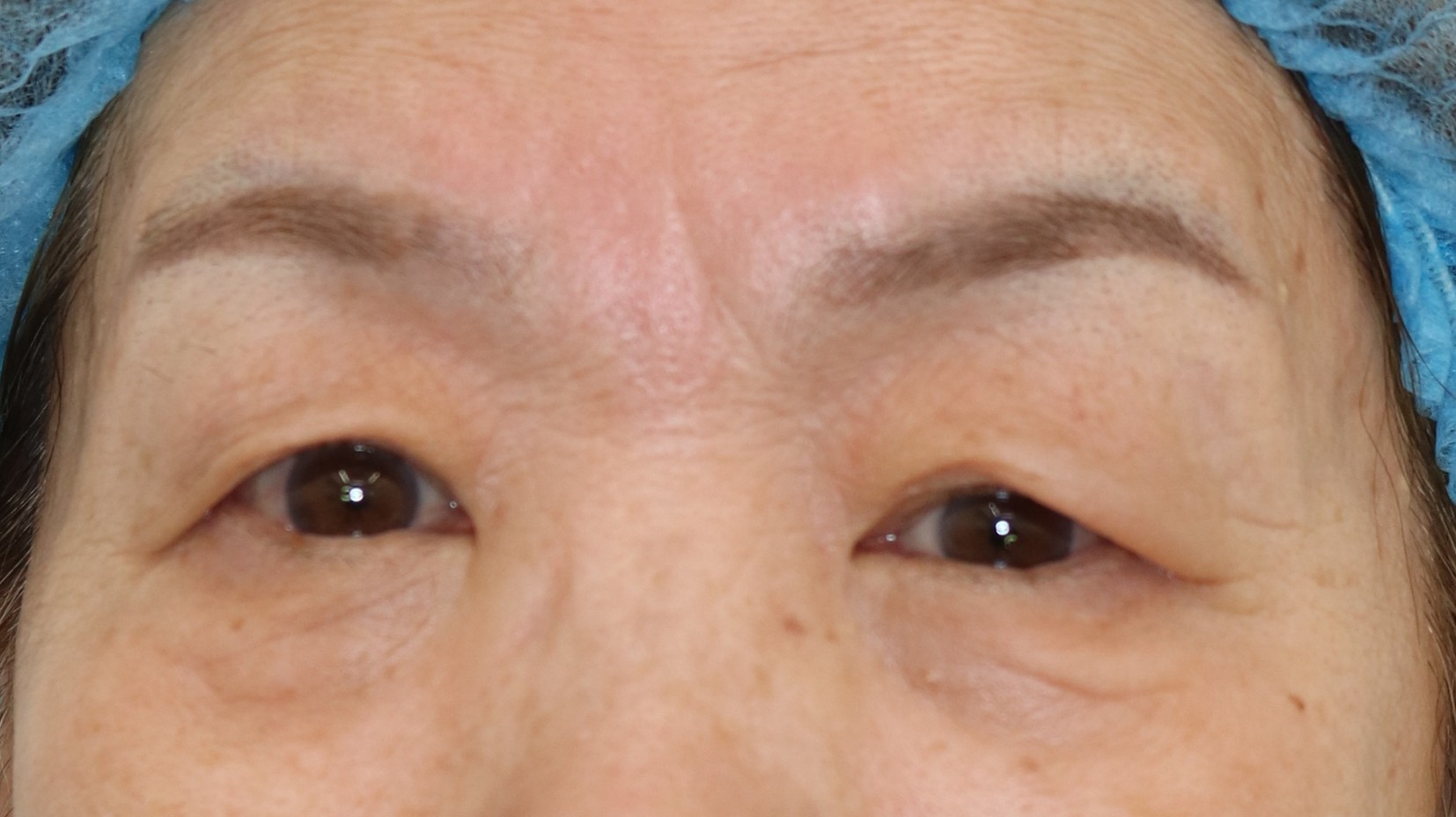
今回は眉下切開法と埋没法を同時に施術させていただいた
患者様のご紹介です。
眉下切開法はキズが露出する手術ですので
縫合のプロである形成外科専門医に是非お任せください。
手術は必ず組み合わせないといけないということは
ありません。
御一人御一人の目元の状況は異なりますので
診察して、どんな方法があり得るかをお伝えいたします。
許容できるダウンタイムなども伺いながら
押し付けることなくご説明しますので
よかったら一度カウンセリングにお越しくださいね。
眉下切開法のリスクは
出血・感染・左右差・傷が目立つ・ひきつれなど。
埋没法のリスクは
皮下出血・感染・糸の露出・糸が外れる・角膜損傷・眼瞼下垂など
です。
コストは
眉下切開法両側が
¥385,000
パーツモニターさんは
¥338,800
埋没法3点留めは
¥162,800
ですが今回のように2つの手術を組み合わせる
場合には2つ目の手術料金から30%お引きしています。
モニターさんにご協力くださった方
ありがとうございました。
これからの毎日が
明るく楽しくなられますように!
最近の投稿

土屋 沙緒
Sunao Tsuchiya
京都の美容外科・美容皮膚科すなおクリニックの院長。医師として、そして一女性の立場から、ちょっと役立つ美容情報をお届けします。











