すなおクリニック院長の美容情報ブログ
眼を大きく~自然でアイデンティティを崩さない方法~
2025/12/06
こんにちは。
美容医療を受ける人って大きく分けて
2つに分かれると思うんです。
一つには、「ガラッと別人のようになりたい方たち」
そしてもう一方は、「自分のアイデンティティは守りつつ
少しだけ変えたい人たち」
当院にお越しくださる患者さんは圧倒的に
後者が多いです。
変化はしても周囲にばれづらく
少し明るく見える
若々しく見える
そんな変化となるよう、気を付けています。
たとえ、手術であっても。
きちっと変えさせていただくのが仕事ですので
変化が微妙すぎてわからないというのも
避けるように努力しています。
そうはいっても毛穴治療など一部の治療は
変化に時間がかかりますが。

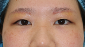
こちらのモニターさんも
睫毛の根元がでるようにしつつ
少し控えめな変化をご希望された方です。
皮膚の切除量は7ミリ幅と、
眉下切開としてはどちらかというと
控えめな切除量でした。
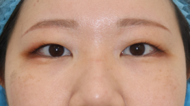
手術というとダウンタイムが気になるところですよね。

こちらは7日目の抜糸の日。
皮下出血や腫れは軽度でした。
傷跡はこの時期だとまだまだ赤いです。

こちらは1か月目。
まだ少し傷に赤みがありますね。

3か月後にはすっかり赤身が消えておられますが、
この時期、他人からは気づかれない程度の
非常にわずかな凹凸がのこっており、
これが6か月目くらいまでに平坦になっていきます。
眉下切開法のリスクは
出血・感染・創が目立つ・左右差
など。
コストは
両側税込みで
¥385,000
です。
モニターさんにご協力くださった方
ありがとうございました。
これからの毎日が明るく楽しく
なられますように!
最近の投稿

土屋 沙緒
Sunao Tsuchiya
京都の美容外科・美容皮膚科すなおクリニックの院長。医師として、そして一女性の立場から、ちょっと役立つ美容情報をお届けします。











