すなおクリニック院長の美容情報ブログ
瞼が重く、目が小さくなったら眼瞼下垂症手術がよいかもしれません
2025/12/09
年齢とともに眼が小さくなってくるのは
太陽が東から登ることくらい、
動かしがたい自然の摂理です。
上瞼を開く筋肉が働きづらくなり
コラーゲンやエラスチンの減少により
上瞼の皮膚はたるみ
額も靭帯のゆるみや皮膚のたるみ、
筋力の低下によって下がって瞼を
押し下げます。
眼が小さくなると、
弱弱しく見える
実年齢よりも上に見られています
活力が無いように見えてしまう
メイクがしづらい
などの問題が生じます。
人生は長く長くなっていますから
少しお手入れをしながら
明るく楽しく元気に生活したい、
そんな思いの方の手助けができたら
嬉しいな、と、日々、思っています!
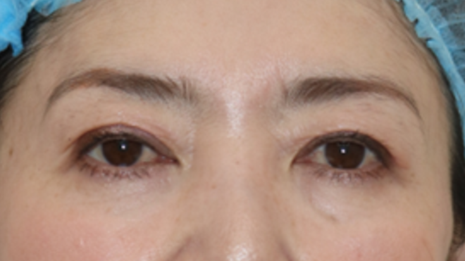
眼瞼下垂の手術結果は
開きすぎも
開かなすぎも
どちらもダメだと思っています。
自然な光が入る、お顔になじむ調整を
行うことで、もっとも整形感がなく
手術を受けたことを忘れてすごしていただける
結果につながっていくと思います。
美容的眼瞼下垂手術のリスクは
皮下出血・腫れ・術後出血・血腫形成・感染・
左右差・下垂の改善不十分・下垂再発
二重の不整
などです。
ご料金は
両側で¥440,000(税込)
パーツモニター様は
¥391,600(税込)
全顔モニターさんは
¥352,440(税込)
です。
モニターさんにご協力くださった方
ありがとうございました。
これからの毎日が明るく楽しく
なられますように!
最近の投稿

土屋 沙緒
Sunao Tsuchiya
京都の美容外科・美容皮膚科すなおクリニックの院長。医師として、そして一女性の立場から、ちょっと役立つ美容情報をお届けします。











